下载或打开 医联APP 查看完整评论
立即下载
打开APP
双下肢红斑,结节半月,发热1天
全身皮肤,黏膜无黄染,皮温正常,湿度双小腿伸侧可见大量甲盖至钱币大小鲜红色圆形或椭圆形斑片稍高出皮面,境界不清,结节无破溃,右前臂可见一枚黄豆大小的淡红斑,皮下可扪及结节,黏膜无异常
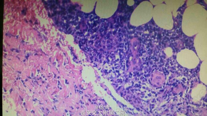
病理诊断为结节性红斑 诊疗计划:完善血尿粪常规,肝肾功能,胸片,查血沉,自身抗体谱测定,风湿三项,排除其他结缔组织病,排除硬红斑,对因治疗,给予复方甘草酸铵,喜炎平等抗炎对症治疗

卧床休息,抬高双下肢,该病需要于结节性血管炎鉴别,后者多发于老年女性,皮损多为大小不一的散在皮下结节,反复发作,好发于小腿屈侧,分布不对称