下载或打开 医联APP 查看完整评论
立即下载
打开APP
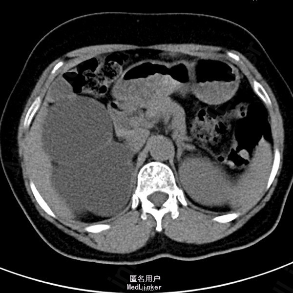
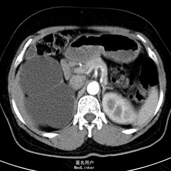
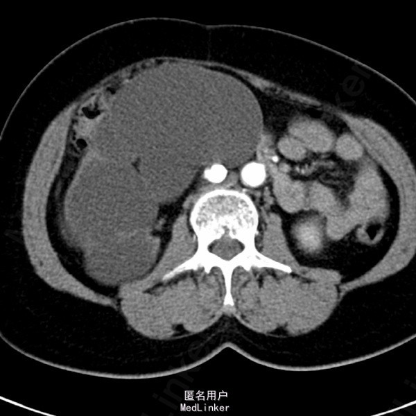
患者女,62岁11月,因“体检发现右肾积水4天”入院。自诉无任何不适。
超声检查示:1.右肾重度积水 2.右肾结石,疑右侧输尿管起始端结石 SPECT肾显像示:右肾无功能;左肾GFR代偿性增高,左上尿路引流通畅。



诊断:右输尿管上段结石 右肾重度积水无功能。行腹腔镜右肾切除术。术中见患者右肾实质菲薄,体积较大,与周围组织粘连重,穿刺吸出淡黄色尿液约1200ml。
肾积水是由于尿路阻塞而引起的肾盂肾盏扩大伴有肾组织萎缩,尿路任何部位的管道狭窄或阻塞以及神经肌肉的正常功能紊乱,尿液通过即可出现障碍,造成尿流梗阻,梗阻以上部位因尿液排出不畅而压力逐渐增高,管腔扩大,最终导致肾脏积水,扩张,肾实质变薄、肾功能减退,若双侧梗阻,则出现尿毒症后果严重。