主诉:活动后胸闷、气促2天 于2014-12-6入住我院 现病史:患者2天前排便后出现胸闷、气促、心悸,伴胸前区不适感,向肩部及颈部放射,呈持续性,休息后无明显缓解,无头晕、黑朦,无意识丧失,无四肢乏力,无大小便失禁,无口唇发绀,无大汗淋漓,无胸痛,无撕裂样剧痛,无声音嘶哑,无咳嗽、咯血,无腹痛,无呕血、黑便,无便血,无明显尿量减少,无血尿,无腰痛。胸闷、气促症状持续1天后稍有缓解,为求进一步诊治来我院就诊,急诊ECG示:II、III、aVF导联ST段弓背向下抬高0.1-0.2mV,可见病理性Q波,急查心梗三项:CKMB 9.43ng/ml,cTnI(-),MYO(-)。拟诊ACS,给予负荷剂量阿司匹林(300mg)、波立维(600mg)、克赛抗凝治疗,并收入我科进一步诊疗。 既往史:曾行白内障手术及结肠息肉切除术






T:38℃,P124次/分,R24次/分,BP126/79mmHg,神清,口唇稍苍白,无声音嘶哑,颈静脉怒张,肝颈静脉回流征阴性,双肺呼吸音增粗,左下肺可闻及湿罗音,心前区平坦,心尖搏动位于第五肋间左锁骨中线内0.5cm处,强度减弱,未扪及心包摩擦感,心浊音界向两侧增大;心率124次/分,律齐,心音稍弱,未闻及病理性,未闻及心包摩擦音,四肢干暖,双上肢血压一致,双侧足动脉搏动正常。
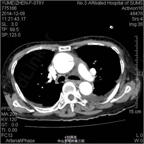
入院后多次复查心梗三项均为阴性。心电图与入院相较变化不大。入院:WBC 13x10e9/L,HGB 85g(小细胞低色素),ESR:45.00mm/H;CRP:153.200mg/L;白蛋白28.800g/L。CA125 90U/ml。转氨酶、BUN、Cr正常。血清LDH 285U/L。 床旁心脏彩提示:心包积液。予以心包穿刺抽液。 患者活动后胸闷、气促由心包积液所引起,暂不考虑急性冠脉综合征,停用抗血小板、抗凝药物。予可乐必妥抗感染、护胃、营养心肌、通便、镇静安眠、心包引流等治疗。 2014-12-8日行胸部CT提示:主动脉夹层(Debakey II型),并血栓形成。请介入科会诊,介入科医师会诊,建议转至外院心胸外科行手术治疗Stanford A型主动脉夹层。与患者家属沟通后,患者签字拒绝手术,表示愿意接受内科保守治疗。 予加用康忻5mgQd控制心率在60-70bpm,硝普钠控制血压在100/60mmHg左右。根据患者血压、心率情况,逐渐调整药物,现予康忻5mgBid,蒙诺5mgQd治疗,血压波动在95-115/55-65mmHg,HR 75-90bpm。 患者入院后偶有心前区、季肋部刺痛,阵发性,考虑与心包摩擦相关。未诉腹痛、背痛,未出现明显撕裂样疼痛。住院期间病情尚平稳,未发现夹层进一步撕裂的临床表现。
随访:略。 讨论:胸疼查因的患者,要注意ACS、肺栓塞、主动脉夹层等病的鉴别诊断。对于主动脉夹层保守治疗重点在于预防主动脉夹层破裂。