下载或打开 医联APP 查看完整评论
立即下载
打开APP
老年女性主诉::反复胸痛5月,胸闷11小时。既往有高血压病史10年。 5月前体力劳动后出现胸痛,于我院行冠脉CT检查示LAD、LCX、RCA多发狭窄,诊断为冠心病,当时未行冠脉介入治疗,予药物抗血小板、降脂治疗。11小时前患者睡眠出现胸闷不适,伴有恶心、呕吐多次,于我院急诊就诊。
查体:生命体征平稳,查体无特殊。 辅查:(起病4小时)心电图示V3-V6ST段压低0.1-0.15mv,心梗三项肌钙蛋白、CK-MB水平正常,肌红蛋白122.67ng/ml,NT-BNP524pg/ml。(起病7小时)心梗三项肌钙蛋白0.12 ng/ml、CK-MB7.8ng/ml,肌红蛋白226ng/ml。(起病9小时)心电图V3-V6ST段压低0.1-0.15mv,较前无明显变化,16:15(起病12小时)心梗三项肌钙蛋白0.24 ng/ml、CK-MB9.4ng/ml,肌红蛋白247ng/ml。急诊查生化AST250U/L,ALT189U/L,K2.87mmol/l,肌酐122.9umol/l,血常规WBC15.4x10`9/l,中性粒比例0.79。
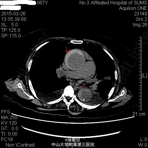
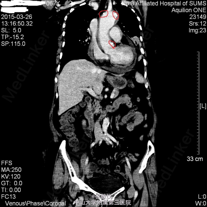
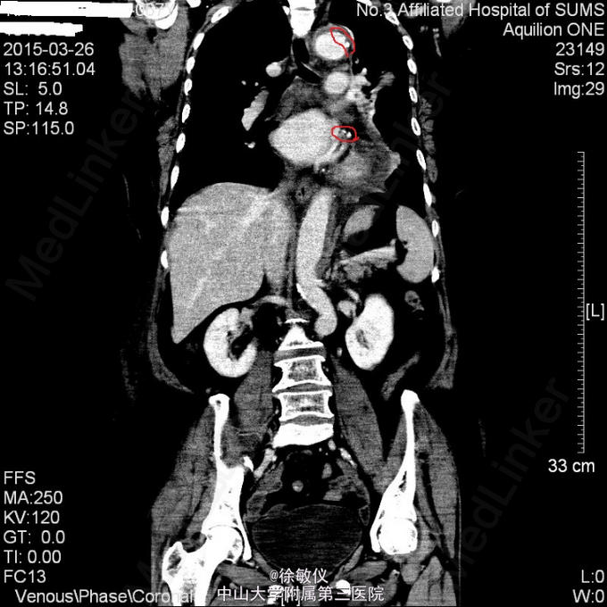
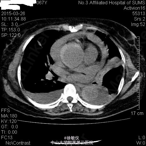
于急诊输液、止呕治疗后呕吐停止,胸闷持续3小时后症状减轻,予阿司匹林、氯吡格雷、立普妥负荷量口服后收入我科。 入院后查胸部、腹部ct发现有主动脉夹层。 诊断:冠状动脉粥样硬化性心脏病;主动脉夹层。




讨论:典型的急性主动脉夹层病人往往表现为突发的、剧烈的、胸背部、撕裂样疼痛。严重的可以出现心衰、晕厥、甚至突然死亡。该患者仅表现为胸闷,症状不典型。