下载或打开 医联APP 查看完整评论
立即下载
打开APP
患者,女性,46岁。下腹胀痛半年。患者于6月前无明显诱因出现下腹部闷痛不适,无尿频、尿急、尿痛,无排尿困难,无血尿、脓尿,在当地医院行B超检查提示:左侧巨输尿管伴左肾 积液。现为进一步诊治收入我科。
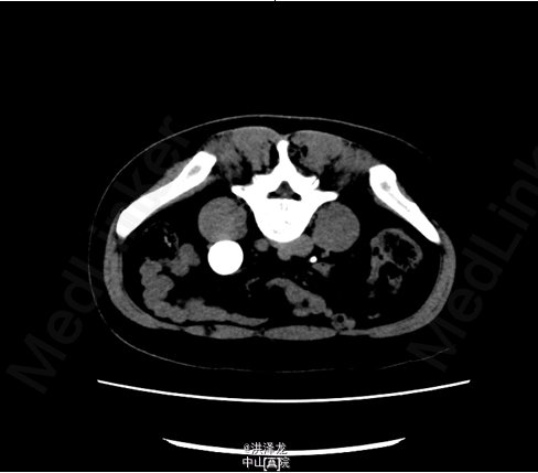
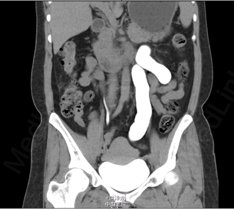
双肾区无红肿、隆起,左肾区叩击痛(-),右肾区叩击痛(-),左侧肋脊点、肋腰点压痛(-),右侧肋脊点、肋腰点压痛(-)。腹平软,左侧输尿管走行区压痛(-),右侧输尿管走行区压痛(-),膀胱区无膨隆,压痛阴性。 CTU检查提示:左输尿管中段约平S1水平管腔稍变窄,其以下输尿管通畅,并进入膀胱内,其以上输尿管迂曲、扩张,扩张程度大致同前; 肾功能检查:左肾灌注正常,总体功能基本正常,左上尿路机械性梗阻





诊断:左侧巨输尿管。经术前准备后,行腹腔镜下左侧输尿管再植术,手术顺利,术后恢复较好。
现患者术后恢复良好,尿管已拔出,排尿正常,无腰痛、腹胀、腹痛等表现。成人巨输尿管的诊断主要依据影像学检查。治疗原则为解除梗阻,尽量保留患肾功能,应根据输尿管扩张程度选择输尿管折叠或裁剪加输尿管膀咣冉植术。肾功能良好、无明显症状者可保守治疗。