下载或打开 医联APP 查看完整评论
立即下载
打开APP
患者,女性,50岁。不自主尿液流出4月余。患者4月余前因“子宫肌瘤”于当地医院行“子宫全切术”,术后1周开始出现不自主尿液流出,完全不受控制,无伴寒战、发热,无尿痛、肉眼血尿,于当地医院予抗感染处理,症状无缓解,未予进一步处理。现为求进一步诊治,至我院就诊,收入我科。
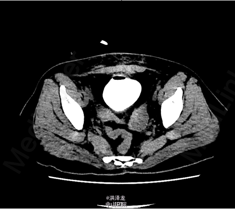
查体:外生殖器发育正常,尿道外口未见异常,可见少量水样分泌物持续从阴道口流出,未见盆腔脏器脱出。 膀胱造影后盆腔CT平扫示:子宫切除术后改变,膀胱阴道瘘。诊断膀胱阴道瘘基本明确,原因考虑子宫全切术损伤。


入院后完善相关检查,术前检查未见手术禁忌,行腹腔镜下经膀胱膀胱阴道瘘修补术,术中见膀胱阴道瘘道内一线结,予以拆除,术程顺利,术后安返病房。术后予抗感染、营养补液等治疗。复查膀胱造影后盆腔CT平扫示:未见明确外漏。


膀胱阴道瘘属于尿瘘的一种。有这种症状的患者,对其身心打击是很大的。由于尿不能自行控制,外阴部长期浸泡在尿液中,不仅给患者带来肉体上痛苦,而且患者因害怕与外界接近,更不能参加工作、劳动,精神上的负担也很大。因此及时行瘘修补术,能明显改善患者的生活质量。