下载或打开 医联APP 查看完整评论
立即下载
打开APP
青少年男患者,13岁主诉:左上前牙未萌。现病史:左上前乳尖牙替换后恒牙未萌,2012年曾于外院行切龈术。既往史:无特殊。家族史:否认家族遗传史

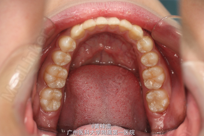
面部基本对称,无露龈笑,笑容不自然。直面型,面中1/3高度与面下1/3高度基本相等。下颌后缩,颏部发育稍不足。上中线与面中线一致,下中线稍右偏0.3mm。左侧磨牙关系中性,无尖牙关系。22,24间前庭沟下方可见鼓起,扪及23,磨牙覆盖正常。右侧磨牙关系中性,尖牙关系1/4远中,磨牙覆盖正常。上牙弓卵圆形,23缺牙间隙8.5mm,13宽度为8.5mm。口腔卫生可,未见牙体、牙周疾病,颞下颌关节检查未见异常。







诊断:安氏ǀ类错牙合;23埋伏阻生牙 处理:选择非拔牙矫治+23外科-正畸导萌术。全口固定正畸治疗,排齐阶段使用双丝技术牵引23,精细调整咬合关系及保持,总疗程18个月。






患者对治疗效果满意,拆除保持器维持1年。讨论:在判断阻生尖牙是否能自行萌出首先需判断阻生牙的倾斜角度及与侧切牙重叠位置,一般阻生超过侧切牙牙根1/2的阻生牙较难自行萌出,第二需要观察尖牙牙根发育状况而定。本患者尖牙已无自行萌出的趋势,因此行正畸牵引。 处理此类阻生尖牙时,首先粘接牵引附件需要确定牵引方向,控制牵引过程牙根不能碰及邻牙;其次牵引阻生牙时,牙列主弓丝必须时硬丝,利用短NITI丝段对阻生牙进行牵引,这样可以避免牵引过程对邻牙产生影响,稳定牙弓。第三,牵引后需要观察牙根方向和轴向,如不佳需要调整为好。




