下载或打开 医联APP 查看完整评论
立即下载
打开APP
患者男,64岁,因“颈部出现丘疹1月余”就诊。1个月前无明显诱冈颈部出现米粒大小丘疹,微痒,未予治疗。皮疹渐增多,发展到四肢。无其他不适。


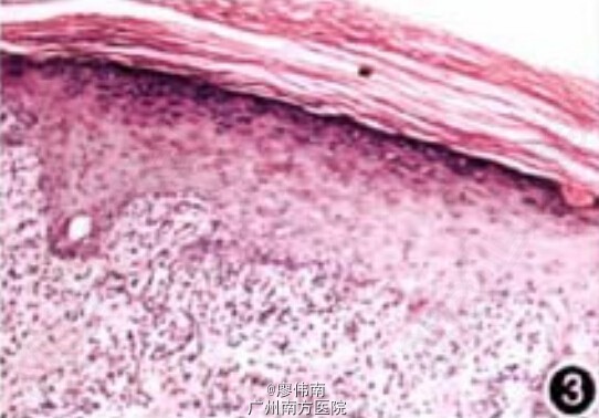
查体:躯干散在,颈部、四肢密集分布米粒至蚕豆大小暗红色扁平状丘疹、斑丘疹,丘疱疹,形状不规则,表面光滑,有少许细薄鳞屑,不易脱落,部分皮损中央略有凹陷。腿部丘疹上伴有小水疱,且水疱逐渐蔓延至躯干及四肢,瘙痒明显,疱壁紧张。 实验窒检查示符合扁平苔藓改变。


入院诊断为玫瑰糠疹,予以治疗后未见好转。后行皮肤病理提示扁平苔藓。故确诊为大疱性扁平苔藓。 治疗:确诊后给予胸腺肽针剂,雷公藤多苷片,阿维A胶囊治疗,效果不理想。改用甲泼尼龙注射液40 mg,同时能量合剂,胸腺肽针剂,雷公藤多苷片,阿维A胶囊,治疗第2天无新出水疱,1周后水疱基本吸收,糖皮质激素减量为地塞米松5 mg,逐渐递减至泼尼松15 mg维持,1个月后出院皮损基本消退,可见色素沉着斑。
随访4个月无复发,泼尼松已经停用。讨论:扁平苔藓今年来发病率有升高趋势,且其皮损差异大,极易误诊。可行皮肤组织病理学检查协助诊断。DOI:10.3760/cma.j.issn.0412-4030.2010.01.003