下载或打开 医联APP 查看完整评论
立即下载
打开APP
患儿男,16岁。2个月前无明显诱因,上肢、躯干出现暗红色丘疹,高出皮面,伴瘙痒,皮疹逐渐增多。发疹前无明确用药史。既往体健,否认家族有类似疾病患者。
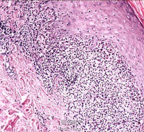
皮肤科检查:皮疹泛发,以双上肢、胸腹部、背部为主,皮损表现为米粒至绿豆大小暗红色丘疹,部分融合倾向,可见同形反应。甲、唇及口腔黏膜未见损害。腹部皮损组织病理:表皮角化过度,颗粒层呈楔形增厚,棘层增厚,基底细胞液化变性,真皮浅层单一核细胞为主的炎症细胞呈带状分布。



诊断:泛发性扁平苔藓。治疗:局部外用糖皮质激素药膏,
随访中。扁平苔藓临床表现的类型多种多样,但所有类型的组织病理学表现都相同。典对任何类型的扁平苔藓治疗前,都应除外药物引起的可能性。目前局部外用糖皮质激素仍是治疗扁平苔藓的主要方法。