下载或打开 医联APP 查看完整评论
立即下载
打开APP
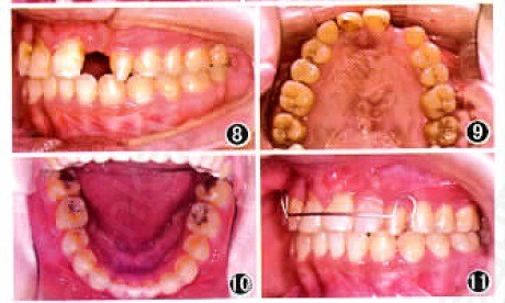
女13岁,双侧完全性唇腭裂求治。

恒牙合,上牙弓狭窄,左侧后牙反合,上颌中切牙舌倾,上颌体腔片显示双侧牙槽突裂隙。颌面外科意见:上牙弓狭窄,上切牙舌倾,由于手术困难,要求进行手术前正畸治疗,改善手术野

双侧完全性唇腭裂。制作四角舌弓,开展上颌牙弓。

经正畸治疗后,上下牙弓排齐效果良好,经治疗4个月后牙反胎解除,上牙弓明显增宽。准备进行牙槽突植骨手术。植骨3年后的上颌体腔片显示:牙槽突植骨为临床成功。
