下载或打开 医联APP 查看完整评论
立即下载
打开APP
患者,男,34 岁,因“发现腹腔内巨大囊性占位4 天”入院。
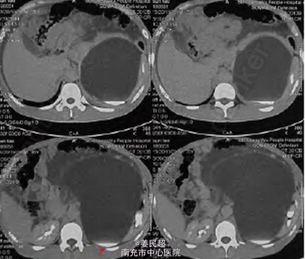
腹膨隆,腹部可触及一巨大囊性占位,无压痛及反跳痛,双肾区无叩痛,左肾区叩击伴明显液波震颤感。 CT 可见: 腹腔内见巨大囊性低密度灶,边界清,最大截面约22cm ×15cm,与左肾关系密切,左肾明显受压,注入造影剂后排泄期可见病灶内少量造影剂进入。于膀胱后方可见水样密度管状结构。 逆行肾盂造影检查未见异常输尿管口,造影检查提示左侧受压肾脏肾盂显影,形态失常,右侧未见明显异常


患者术前准备充分后,于气管插管全麻下行腹腔镜探查术,术中探查发现患者为左侧完全重复肾输尿管合并上肾重度积水,遂行左侧重复肾输尿管切除术(上肾) ,术中吸引器共收集左上肾积水量约为8000 ml,手术顺利。术后5天拔除左肾周引流管,后患者顺利出院。术后1个月复查B超示左侧下肾较前无明显变化,血清肌酐水平与术前水平相似。
重复肾输尿管是较常见的畸形,可分为完全性与不完全性两种,前者是指输尿管分别开口于膀胱或其他部位,后者是指重复之输尿管汇合后共同开口于膀胱。大量的临床资料研究表明,重复之输尿管的走行多样,其中约50% 的输尿管会在远端汇合后共同开口于膀胱,即不完全性重复肾输尿管畸形,在余下的患者中多数两条输尿管并行,分别开口于膀胱,其中约10% 的输尿管开口于膀胱三角区,很少见的情况下,输尿管会开口于膀胱以外,其中男性多见于后尿道及精囊,而在女性多见于尿道、前庭和阴道。