打开应用

输尿管结石合并重度肾积水

张医师   中国医科大学附属盛京医院
输尿管结石 肾积水

主诉 病史

老年男患,51岁。 1主诉:以“右腰肋部突发疼痛2天”为主诉入院。 2现病史:患者入院两天前无明显诱因出现右侧腰肋部突发绞痛,疼痛不能忍受,无恶心呕吐,休息后可缓解。就诊于我院急诊,完善中下腹平扫CT检查提示:右输尿管上段多发结石,右肾及输尿管重度积水,右肾萎缩。患者现求进一步诊治入我科,我科以“右侧输尿管结石伴右肾积水”为诊断收入院。患者病来饮食睡眠可,大便正常,无尿频尿急尿痛,近期体重无明显变化。 3既往史:患者曾患双肾结石十余年(右肾较大),曾行一次体外碎石治疗,疗效不清楚。十年来曾间断口服“石淋通”药物治疗,未行系统诊治。否认高血压、糖尿病病史,否认冠心病病史。否认肝炎、结核等传染病史,否认重大外伤史,否认输血史,8岁时行急性阑尾炎手术,否认食物、青霉素等药物过敏史。近期未服用阿司匹林。

查体 辅查

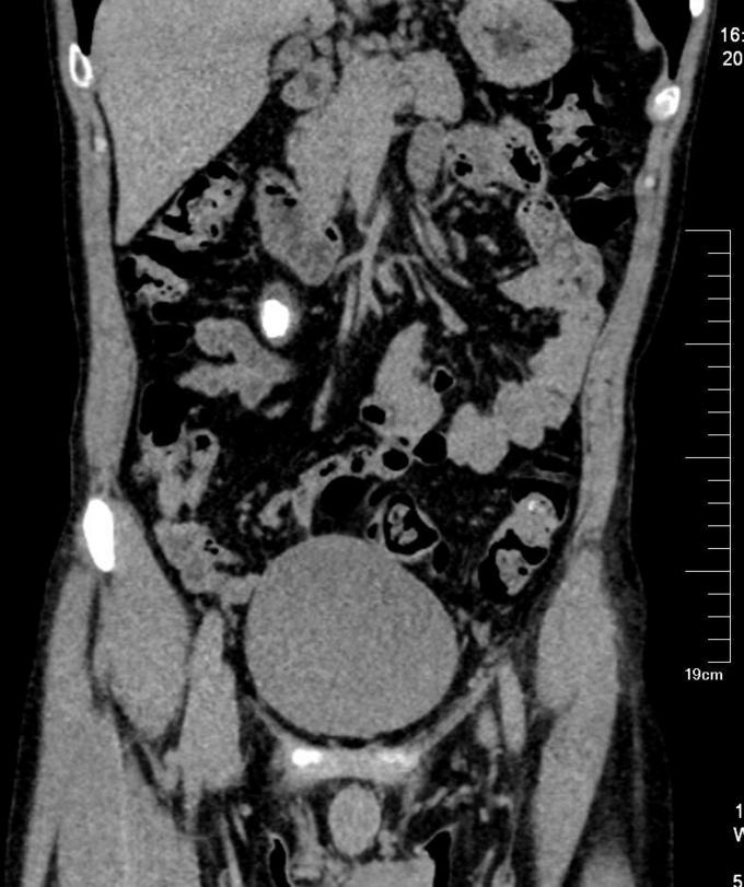
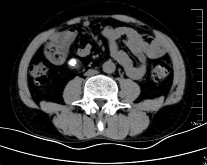
查体:右肾区明显压痛及叩击痛,左肾区无叩痛。右输尿管区轻微压痛,左输尿管区无压痛。膀胱区无明显隆起,未及包块,无压痛,叩诊无浊音。 辅查:我院泌尿系平扫CT+三维重建检查提示:右输尿管上段多发结石,右肾及输尿管重度积水,右肾萎缩。左肾盂略宽,结合临床。 我院肾图检查提示:1.右肾符合积水改变,功能重度受损。2.左肾GFR正常范围,功能正常。

诊断 处理

诊断:右输尿管结石合并右肾重度积水。 治疗:给予右侧输尿管切开取石术。

随访 讨论

随访:术后3天拔除引流,7天拆线、出院。患者恢复良好。 讨论:在今天,随着结石微创治疗水平的不断提高,开放手术治疗输尿管结石已经越来越少见。但是对于本例患者,考虑到输尿管结石体积较大,合并重度肾积水,同时患者的经济条件并不好,我们考虑输尿管镜手术可能有结石回到肾盂、需要多次碎石、排石时间长加重肾功能损伤等多种原因,最终认为输尿管切开取石对该例患者更为合适。

发布于 15-09-27 22:35

1 个评论

发送