下载或打开 医联APP 查看完整评论
立即下载
打开APP
主诉:头痛伴左眼视力下降半年 病史:患者46岁男性,缘于半年前无明显诱因出现头痛,当时未予特殊处理,后症状进行性加重,并发左眼视力下降,于当地医院行头颅CT及MR检查提示颅内占位,为进一步治疗而入我院。 既往病史:5年前曾患鼻咽癌

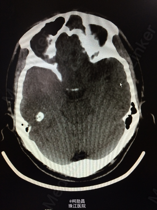
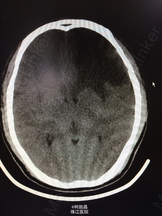
查体:神志清楚,对答流利,左侧眼裂变小,左侧瞳孔散大,直径4mm,对光反射迟钝,左眼视力下降。右侧正常。 辅助检查:头颅MR提示前颅底筛沟通病变








诊断:鼻咽癌脑转移 处理:全麻下行颅筛沟通占位切除术,术后病理提示:鼻咽非角化鼻咽癌脑转移


随访:患者视力下降症状好转出院 讨论:鼻咽癌是指发生于鼻咽腔顶部和侧壁的恶性肿瘤。是我国高发恶性肿瘤之一,发病率为耳鼻咽喉恶性肿瘤之首。常见临床症状为鼻塞、涕中带血、耳闷堵感、听力下降、复视及头痛等。鼻咽癌大多对放射治疗具有中度敏感性,放射治疗是鼻咽癌的首选治疗方法。但是对较高分化癌,病程较晚以及放疗后复发的病例,手术切除和化学药物治疗亦属于不可缺少的手段。鼻部症状原发癌浸润至后鼻孔区可致机械性堵塞,位于鼻咽顶前壁的肿瘤更易引发鼻塞。初发症状中鼻塞占15.9%,确诊时则为48.0%。头痛是常见的症状。临床上多表现为单侧持续性疼痛,部位多在颞、顶部。眼部症状鼻咽癌侵犯眼眶或与眼球相关的神经时虽然已属晚期,但仍有部分患者以此症状就诊。鼻咽癌侵犯眼部常引起以下症状和体征:视力障碍(可失明),视野缺损,复视,眼球突出及活动受限,神经麻痹性角膜炎。眼底检查视神经萎缩与水肿均可见到。脑神经损害症状鼻咽癌在向周围浸润的过程中以三叉神经、外展神经、舌咽神经、舌下神经受累较多,嗅神经、面神经、听神经则甚少受累。



