下载或打开 医联APP 查看完整评论
立即下载
打开APP
打开应用
牵引成骨术
唐医师
首都医科大学附属北京口腔医院
主诉 病史
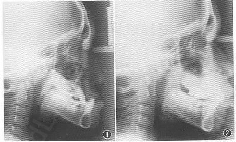
12岁男性,地包天求治
查体 辅查
上颌骨严重发育不足
诊断 处理
上颌发育不足。 采用颅骨外固定牵引装置,施牵引成骨术。
随访 讨论
发布于 15-07-13 23:45
医联推荐你看
下颌骨牵引成骨术后留置牵引器取出术
Pilon骨折,牵引10天
持续性颅骨牵引
共
0
个评论
暂无评论
发送
0