打开应用

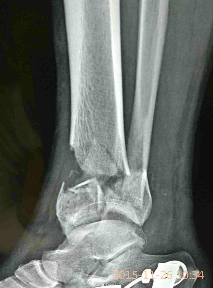
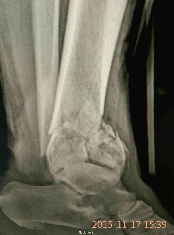
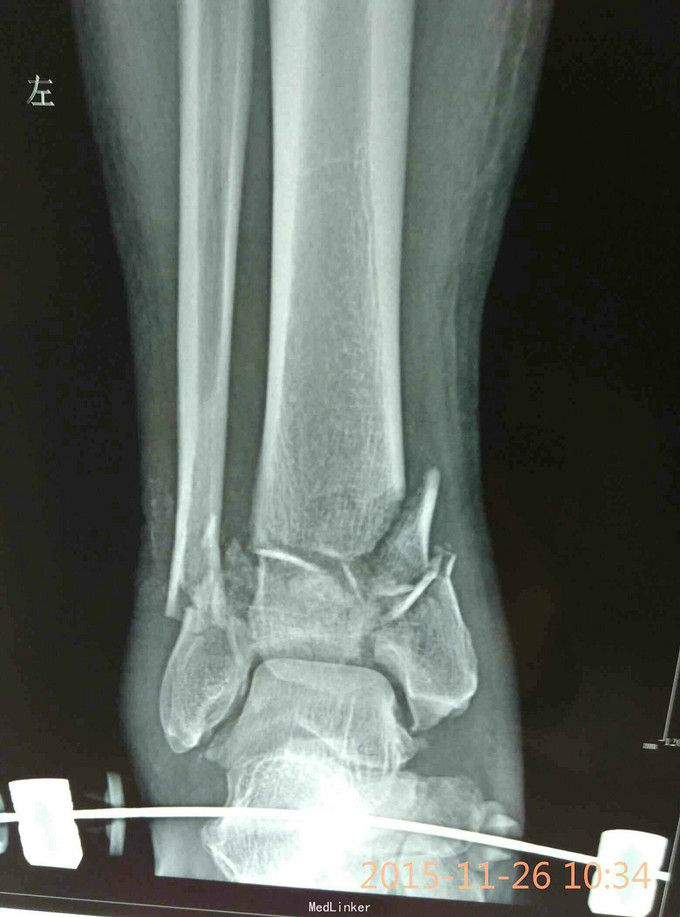
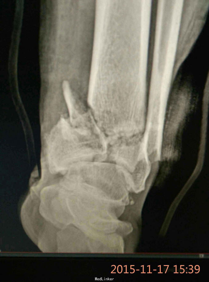
Pilon骨折,牵引10天

于医师   大连普湾新区第三人民医院
骨折

主诉 病史

车祸致伤,开放性,急诊复位,跟骨牵引,清创,抗炎对症,伤口愈合可,无感染迹象,欲手术治疗,请各位老师给点建议。

查体 辅查

伤时左踝畸形肿胀,外踝上方见长约5cm不规则裂伤,骨端外露,踝关节功能丧失,足背动脉搏动有力

诊断 处理

左侧Pilon骨折于急诊清创骨折复位缝合并行跟骨牵引治疗。欲10天后,皮肤条件允许后,限期手术

随访 讨论

选择何种术式,内固定物?

发布于 15-11-26 15:57

13 个评论

发送