下载或打开 医联APP 查看完整评论
立即下载
打开APP
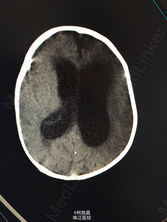
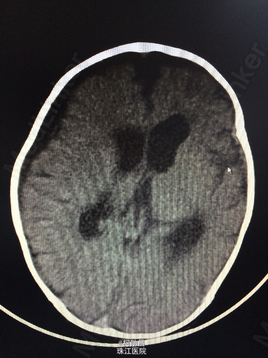
主诉:发热10天,抽搐3天 病史:患儿出生后8个月,因“发热10天,抽搐3天”入院,入院时体温39.3℃,神志不清,反应差。四肢肌张力增高,以双上肢肌力增高明显。病理征未引出。

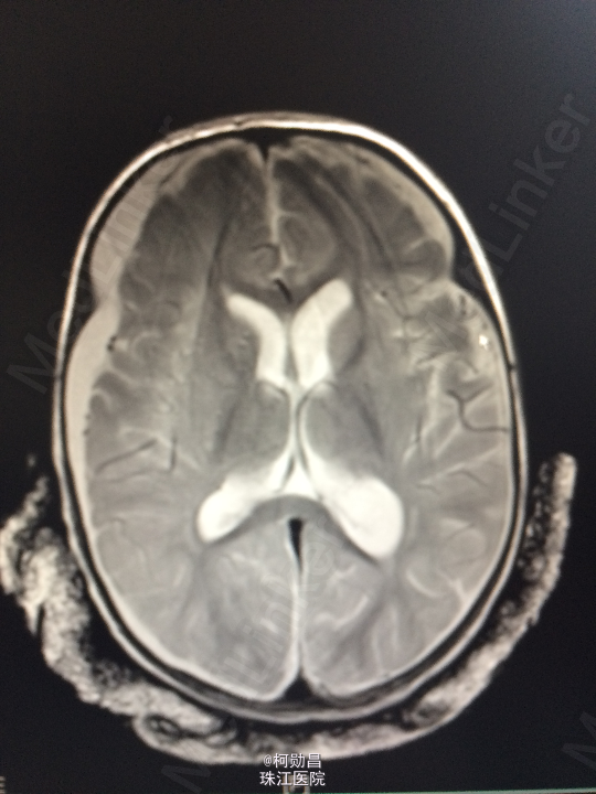
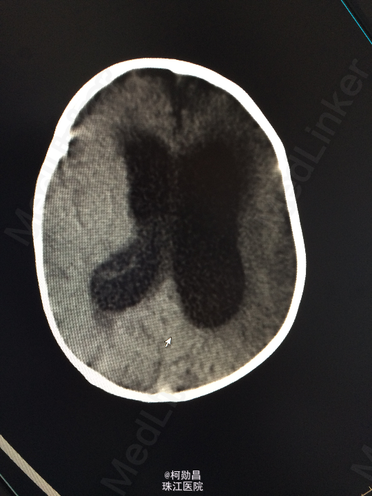
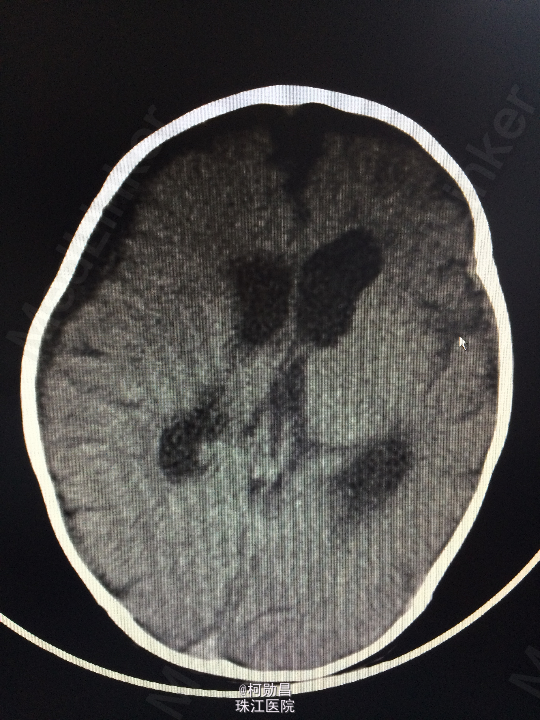
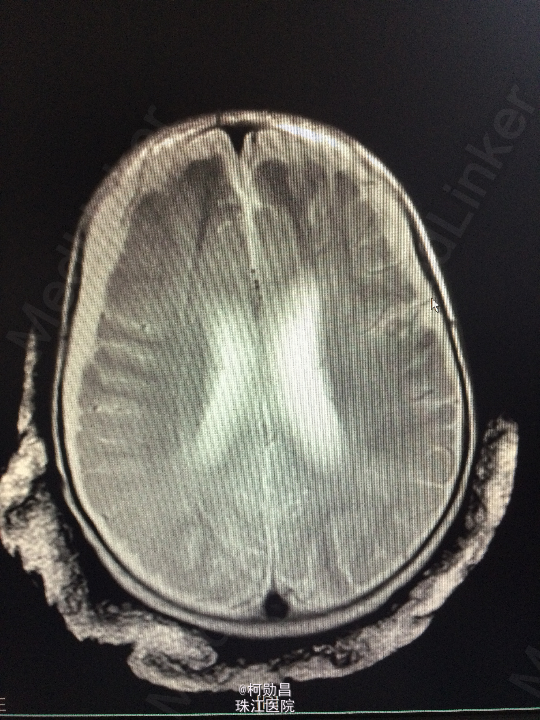
查体:神志不清,四肢肌力增高 辅助检查:头颅CT提示脑积水并脑脊液外渗,幕上脑室扩张,右侧额颞叶硬膜下脑脊









诊断:化脓性脑膜炎伴脑积水 处理:予内科抗感染治疗,后行脑室腹腔引流术。









随访:患者仍有间歇性发热、咳嗽,无抽搐、呕吐等,四肢肌力、肌张力正常。 讨论:化脓性脑膜炎(purulent meningitis)仍然是全世界发病率和高病死率的疾病之一。不同国家和区域的流行病学情况不尽相同。美国的发病率为3/(10万*年)。发展中国家的发病率更高,可能与缺乏疫苗接种有关。是由化脓性细菌感染所致的脑脊膜炎症,是中枢神经系统常见的化脓性感染。通常急性起病,好发于婴幼儿和儿童和60岁以上老年人。