下载或打开 医联APP 查看完整评论
立即下载
打开APP
30岁女性,孕30+5周,因为12小时胎动减少入院
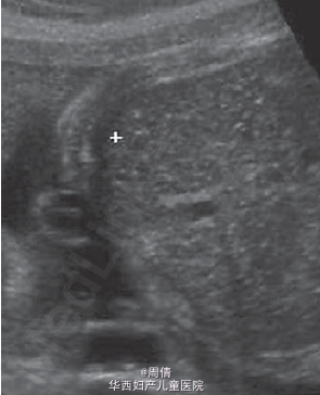
超声提示胎动减少,少量腹水,扩大的胆囊和扩张的小肠 多普勒提示胎盘缺氧,但和胎盘的血管没有关系 羊膜腔穿刺术提示羊膜内感染,G(+),糖减少,多核细胞增多


急诊剖宫产,羊水轻度浑浊,Apgar评分8,9 手术时使用头孢菌素 婴儿出生后出现黄疸和早期的呼吸困难 给予青霉素100mg/kg 10天
胎儿恢复良好,出院 产妇术后恢复良好,无感染症状,很快出院