下载或打开 医联APP 查看完整评论
立即下载
打开APP
26岁女性,G2P1,单绒毛膜双胎妊娠,孕18+6周,超声提示只有一个胎儿有心跳
超声提示存活的那个胎儿有双侧的脑室扩大(11mm) 羊膜穿刺术提示核型正常 告知患者脑室增大提示宫内的胎儿死亡合并另一个神经系统损害 患者要求继续妊娠

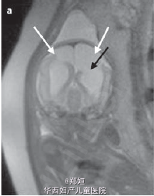
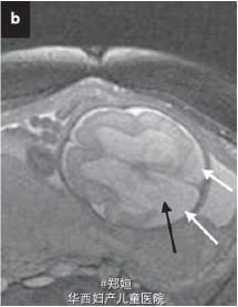
复查超声,提示存活的胎儿脑皮质变薄,怀疑脑穿孔 孕28周MRI检查提示脑穿孔性囊肿 孕41周自然生产3.1kg女婴 胎盘肉眼可见死亡的一胎紧贴胎盘 胎儿MRI提示双侧脑实质局灶性损害 MR造影提示双侧的大脑中动脉阻塞







胎儿之后出现智力障碍,并有West综合征