下载或打开 医联APP 查看完整评论
立即下载
打开APP
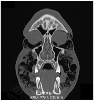
患者拔除双侧智齿后当天出现面部肿胀
检查发现患者整个面部肿胀,皮温正常,睁眼困难,轻度张口受限,轻度呼吸急促。触诊发现眶周、脸颊部、锁骨上窝有清脆捻发音。口内拔牙窝未愈合。





诊断:皮下气肿。患者住院进行预防性抗感染治疗,服用类固醇,同时为了避免软组织内气压过大,使用引流管控制气压

皮下气肿是颌面外科中较罕见的并发症,大多数情况下能够自行消退,但仍有少数情况会发生空气向面部深层组织扩散,严重者危机生命,因而皮下气肿的快速诊断极为重要,可以通过面部肿胀和捻发音判断。doi: 10.1093/jscr/rjv068