患者女性,77岁,胸闷、气短1年,近来加重,遂来我院检查。患者3年前发现甲状腺肿物,于外院行手术切除术,术后病理报告:左右甲状腺及峡部恶性肿瘤,结合免疫组化结果考虑为滤泡癌+乳头状癌,病变不典型,建议进一步会诊复议诊断。
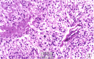
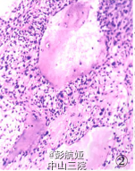
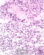
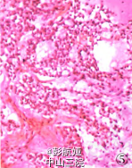
入院后行病理检查见右颈内静脉见癌栓,心脏扇扫显示左房占位,CT示肺内多数小点状阴影,考虑甲状腺癌转移,行左心房肿物切除术。术中见左房内肿物与房壁无关,肿物由肺静脉内长出,另见肺静脉内多发肿物。术中将左房内肿物送快速病理检查。眼观:肿物大小9 cm×7 om×5 cm,切面灰白色,黏液样,部分质韧,部分质软。镜检:黏液样物质背景下见肿瘤细胞呈梭形及圆形,呈团巢状、网格状排列,未见核分裂象。术中快速冷冻病理诊断:间叶源性肿瘤,部分区域细胞增生活跃,考虑肌源性可能性大。术后肿物行病理检查,镜下见肿瘤细胞呈梭形、圆形,细胞核较大,呈团巢状、网状排列,核分裂象少见,间质少,有大量粉染无结构物质,局部见大量坏死。免疫表型:vimentin、CK、TTF一1均(+++),Ki-67增殖指数<5%,Syn(灶状+),S-100、desmin、Myod.1、CR、HEMB一1、CKl9、SMA、p53、p63、Galectin-3、CK5/6、CK8/18、TG均(一),CT(+)(图4),刚果红染色:淀粉样物阳性





病理诊断:恶性肿瘤,结合病史及免疫表型考虑为甲状腺髓样癌转移癌栓。
甲状腺癌属于常见的内分泌恶性肿瘤,近年来发病率呈明显上升趋势,根据组织学类型不同可分为乳头状癌、滤泡癌、髓样癌、岛状癌和未分化癌等,其与大多数恶性肿瘤一样,具有侵袭性强和易转移的特点。甲状腺癌转移的途径包括血液、淋巴管,肿瘤血栓通过甲状腺静脉持续渗入或直接扩散,由上腔静脉经肺静脉至心脏,也可以通过心包积液种植。最常发生肺静脉和心脏转移的甲状腺癌为乳 头状癌。