打开应用

临床一例子宫内膜癌

高医师   中国人民解放军第四军医大学西京医院
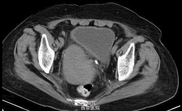
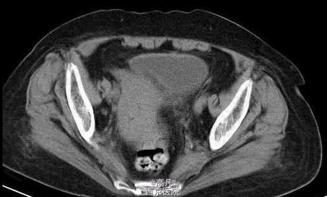
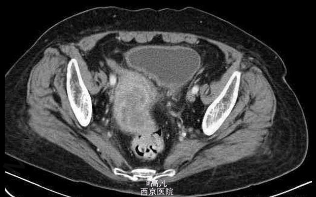
子宫内膜癌

主诉 病史

女,70岁,因近日来阴道不规则出血前来就诊

查体 辅查

不规则阴道出血,常为少量至中等量的出血,有稀薄的白色分泌物 辅查CT,MRI,CT表现常可见宫体不均匀增大, MRI示子宫内膜增厚,T2WI上内膜信号不均,部分可见宫内低信号连接带中断

诊断 处理

子宫内膜癌 处理:以手术为主,配合化疗及放疗

随访 讨论

子宫内膜癌的治疗原则应依据患者的年龄、子宫的大小、癌瘤侵犯范围、细胞分化程度、全身健康状况而定。

发布于 15-07-10 22:46

0 个评论

暂无评论
发送