打开应用

临床一例子宫内膜异位症

高医师   中国人民解放军第四军医大学西京医院
子宫内膜异位症

主诉 病史

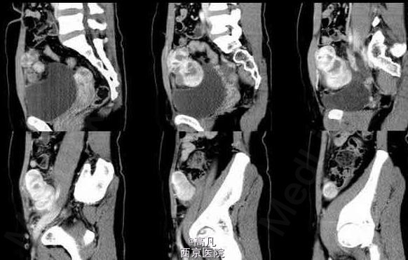
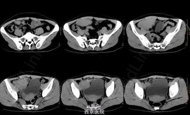
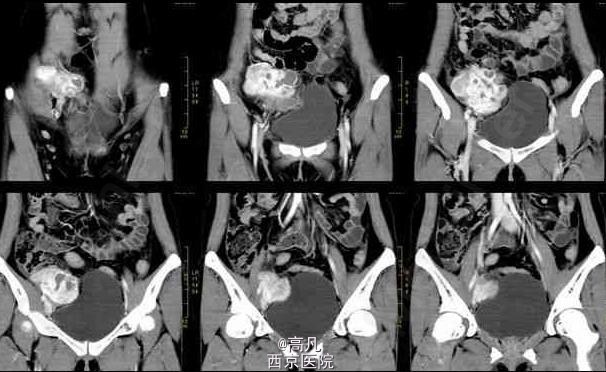
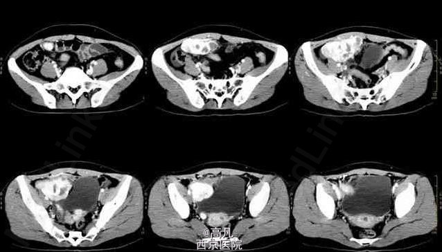
女,40岁,因反复下腹隐痛半年余前来就诊,6年前因子宫肌瘤行次全子宫切除术.

查体 辅查

患者有周期性尿频、尿痛、血尿 辅查CT:右下腹可见囊实性不规则形肿块,实性为主。增强扫描不规则增厚的囊壁,内有多个大小不等囊变坏死区。

诊断 处理

子宫内膜异位症 处理:腹腔镜手术结合“戈舍瑞林”药物

随访 讨论

患者随访中

发布于 15-07-07 23:02

0 个评论

暂无评论
发送