患者男性,82 岁,因突发的颈部疼痛伴不完全、非对称性四肢瘫入院,既往患静脉血栓形成,一直服用华法林治疗。
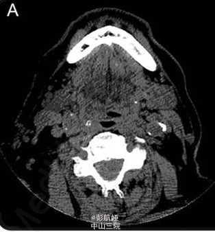
头颅血管造影(CTA)结果(如图 1 所示)示颈椎管可见斑点征和高密度影。 进一步完善 MRI 证实为 C4-T1 的硬膜外血肿(如图 2 所示)



给予手术治疗,恢复良好。
CTA 检测颅内出血患者可出现斑点征——一种生物标志物,通常提示脑出血患者预后不良和血肿扩大。斑点征已被证实具有动态变化的属性,多模态成像提示有其他重要价值。为此,来自波士顿哈佛医学院马萨诸塞州综合医院的 Javier M 教授科研团队展开了相关研究,探索90 秒 -CTA 的使用能否提高检测颅内出血患者斑点征的灵敏度。该研究成果于近日发表在 Stroke 杂志上。 本试验前瞻性纳入连续颅内出血的患者,同时行 CTA 常规检查和 90 秒 -CTA 检查,试验总周期为 18 个月。采用单变量和多变量 logistic 回归,评估临床和影像学协变量与血肿扩大、死亡率的关系。试验结果显示,对于颅内血肿扩大斑点征检测的敏感性,常规一次性 CTA 检查的敏感度为 55%,当同时采用 90 秒 -CTA 法检查后敏感度升高至 64%。多变量分析显示,斑点征与血肿扩大相关:OR=17.7(常规一次性 CTA 检查,95% 置信区间 3.7–84.2,P=0.0004);OR=8.3(90 秒 -CTA,95% 置信区间 2.0–33.4; P=0.004);OR=12.0(其中任意一种,95% 置信区间 2.9–50.5; P=0.0008)。本研究得出结论,增加 90 秒 -CTA 后,预测血肿扩大、预后不良的敏感度明显提升,这为止血治疗有效的颅内出血患者提供了更多更好的选择。