下载或打开 医联APP 查看完整评论
立即下载
打开APP
一名60岁男性因既往心内膜炎导致主动脉瓣和二尖瓣关闭不全,接受主动脉瓣和二尖瓣修补手术,手术过程顺利。术后3个月出现进行性呼吸困难。
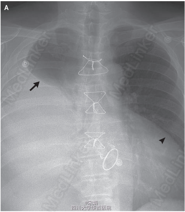
入院时胸片(图A)显示右侧大量胸腔积液(箭号)伴心影增大(箭头)。CT证实存在胸腔积液以及中等量心包积液。

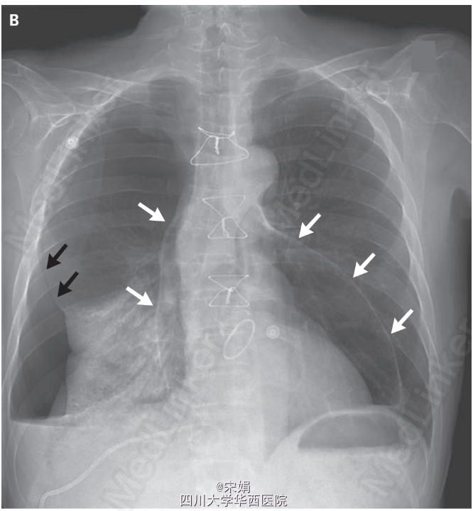
声引导下置入猪尾巴管引流胸腔积液,共引流2.8升渗出液。操作后复查胸片(图B)显示右侧大量气胸(黑色箭头)伴下叶肺不张,同时还有大量心包积气(白色箭头)。继续进行经皮引流,随后使用抗炎药物以及秋水仙碱治疗心包切开术后综合征(postpericardiotomy syndrome)*。患者病情痊愈后出院。

心包切开术后综合征 (postpericardiotomy syndrome)是胸膜和心包的炎症反应导致的发热性疾病,心包开窗手术患者更为常见,但是也可见于心梗后(Dressler综合征),经皮操作入冠状动脉支架植入术后、心外膜起搏器起搏电极植入术后、钝性创伤、刀伤以及心脏穿刺后。心脏超声检查是诊断的金标准,主要依靠抗炎药物治疗。译自N Engl J Med 2009; 361:510。