下载或打开 医联APP 查看完整评论
立即下载
打开APP
主诉:肾移植术后8年,发现血尿3天 病史:患者男,45岁,8年前因尿毒症在我院行异体肾移植术,手术过程顺利,术后恢复良好,服用FK506+MMF+强的松免疫抑制维持治疗,肌酐约110umol/L。2015-5-12开始出现肉眼血尿,无尿频尿急尿道,无尿路刺激症状,于15/5来我院就诊,门诊以“异体肾移植状态,血尿查因”收入院。
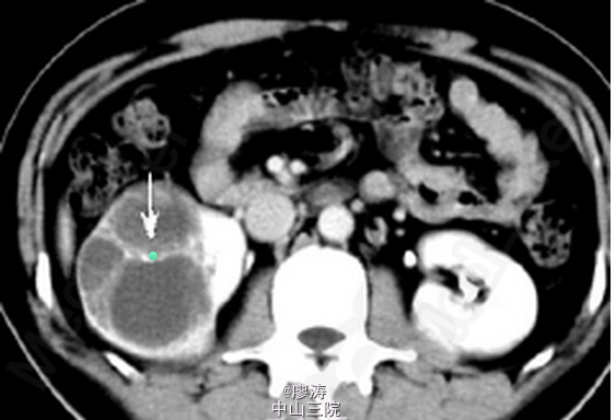
入院后查血肌酐为158umol/L,移植肾功能良好。腹部CT提示右肾巨大占位性病变,且分隔,考虑右肾肾癌。


诊断:右肾占位性病变,考虑右肾肾癌 处理:检查提示肾癌可能性大,跟患者和患者家属讨论后决定手术治疗,于是在入院后第3天在我院行右侧肾癌根治术,术后取活检确诊为肾癌,术后结合化疗。
随访:患者术后生命体征平稳,移植肾功能一直都是正常的,给予补液、预防感染、免疫抑制维持等常规术后治疗,术后2周以后恢复后出院,定期门诊规律随着。 讨论:肾移植术后由于长期服用免疫抑制剂,恶性肿瘤的发生率大大增加,其中以泌尿系统和消化系统肿瘤多见,本病例患者发生原肾肾癌,也是肾移植术后比较常见的恶性肿瘤类型,而且肾癌癌肿已经较大,暂时未发现远处转移灶,但是这个情况术后复发的可能性其实还是比较大的,要求患者增加复查的频率,有问题尽量早发现,早处理。