下载或打开 医联APP 查看完整评论
立即下载
打开APP
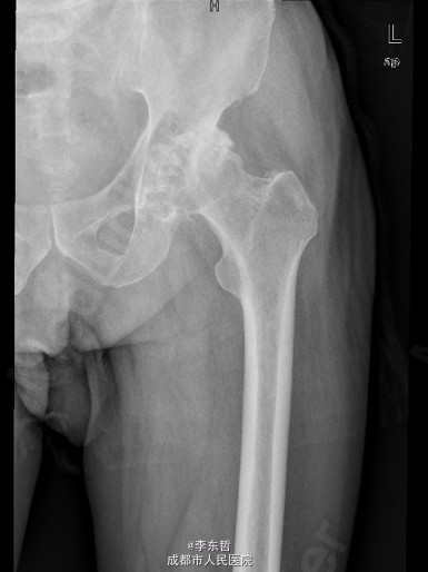
患者男,76岁,因“外伤致左髋部疼痛40多年,加重伴跛行2年”入院;患者自诉40多年前因一次摔伤致左髋关节脱位,给予手法复位后治愈,以后时有疼痛,关节活动好,不影响行走,4年前出现左髋部疼痛加重,活动后明显,休息后缓解,无腰腿痛,无肢体麻木等不适,给予对症治疗,稍有好转,以后反复发作,长时间行走后疼痛明显加重,2年前出现左下肢无力,长距离行走后出现跛行,且左髋关节有异响感;2月前出现左髋部疼痛加重,行走时尤为明显,步行约500米即出现疼痛,伴跛行,偶有静息痛;以后反复出现左髋部疼痛,并逐渐加重,严重影响日常生活;1月前于当地医院摄片提示左股骨头坏死,为求进一步治疗,遂来我院,门诊以“左髋骨关节炎”收入住院。 患者自患病以来精神、饮食、睡眠可,二便正常,体重无明显变化。


查体:左侧腹股沟中点深压痛,左髋部伴有轴向叩击痛,双下肢感觉正常,双足背动脉搏动良好。左下肢较右下肢短缩约2cm;左髋屈65°,伸0°,内收10°,外展20°,内旋5°,外旋10°,左髋活动受限,内外旋诱发疼痛;Thommas征阴性,“4”字试验阳性;左下肢肌力正常,活动良好,右侧正常 ;辅助检查:X片示:左侧股骨头塌陷、密度增高,股骨头坏死可能,左髋骨质疏松.。

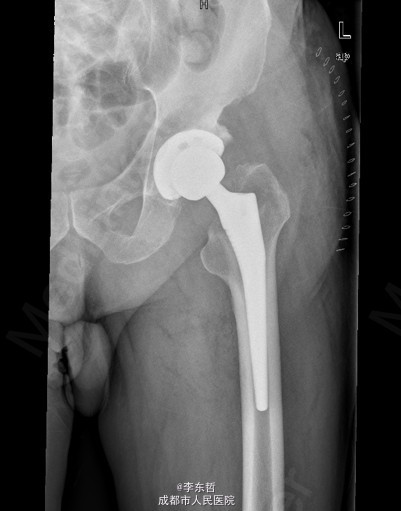
初步诊断:左髋创伤性骨关节炎 诊疗计划:1、向患者及家属交待病情及注意事项。2、向上级医生汇报患者病情。3、完善血常规,心电图,肝肾功等检查,择期手术治疗。4、密切观察病情变化,根据病情及时处理。


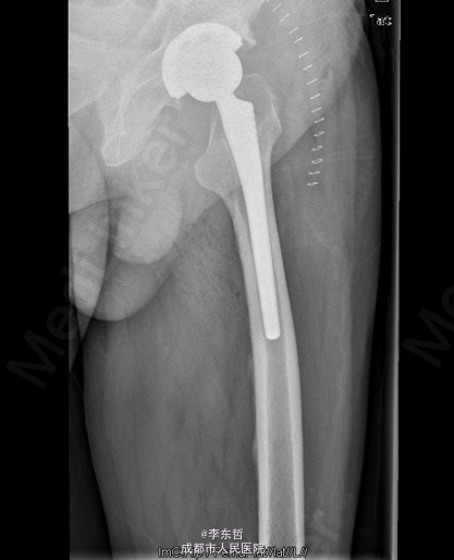
随访无特殊
