患者男,61岁,于2015-01-02因“左下腹痛3天,加重半天”在外院就诊,考虑结肠癌合并肠梗阻,保守治疗效果欠佳。 于2015-01-06在该院急诊行全麻下剖腹探查,术中见腹腔内中量血性积液,乙状结肠处扪及一肿块,肠管周围腹膜大量小结节,另见升结肠有一0.5cm穿孔,有大便流出。行升结肠穿孔修补+横结肠造瘘术,术后恢复好,术后腹膜小结节病理示腺癌。 2015-02-26全身PET-CT:下段乙状结肠癌,腹盆腔、大网膜散在种植转移,腹膜后腹主动脉旁多发淋巴结转移,肝S5转移瘤。 于2015-02-13至2015-05-14行FOLFOX方案(奥沙利铂+5-氟脲嘧啶)化疗1-7程,过程顺利。 第3程化疗后,于2015-03-26行“CT引导下肝脏转移瘤消融术”。过程顺利,无特殊不适。
专科检查 : 腹壁平坦,腹部正中见一约10cm手术疤痕,愈合可,上腹见人工造口,造口通畅,粘膜红润,有排气排便。直肠肛门: 直肠指检肛门括约肌收缩有力,直肠空虚,未扪及包块,无压痛,指套未见血染。 辅助检查结果 : 2015-05-12 我院CT:1、直-乙交界处肠癌,肿瘤较前缩小;病变肠旁、腹膜后淋巴结较前缩小;肝S6转移瘤呈消融术后改变;横结肠造口旁结节较前缩小。2、双肾多发小囊肿。3、纵隔多枚肿大淋巴结,较前相仿。4、前列腺钙化。 盆腔MRI提示:直乙交界处肠癌,瘤体较前局限,MR分期:T4aN0Mx,MRF(+)。 肠镜提示:经肛门进镜约15cm直乙交界处见全周性肿物,肠腔狭窄,内镜无法通过,退镜所见肠腔见散在血迹,黏膜未见异常。 PET-CT提示:1.下段乙状结肠肠壁增厚,代谢较前显著减低,提示肿瘤活性基本受抑制,请结合临床;原腹膜、腹主动脉旁多个代谢异常活跃转移淋巴结消失,腹膜、大网膜区未见明显代谢异常活跃灶;2.肝S5/6低密度消融灶,代谢不高,提示肿瘤活性受抑制;3.原纵膈多发代谢异常活跃淋巴结较前普遍缩小,代谢基本消失,建议随访;4.鼻咽炎,右肾小结石。
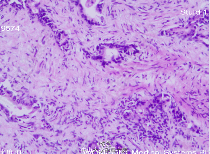
手术治疗:“剖腹探查+肠粘连松解+直肠癌切除+结肠次全切除+横结肠造口关闭+阑尾切除+肝转移瘤切除术” 术中探查:右肝S7段可扪及单发转移瘤消融后瘢痕灶,最大径约3cm,短径约1.5cm,探查腹腔,腹膜、大网膜未扪及转移结节,胃、胆、小肠均未见肿瘤转移。 术后诊断 :1.直乙交界肠癌并腹盆腔肝转移化疗后 2、升结肠穿孔修补、横结肠造口术后 病理诊断:中分化腺癌;肝组织内见少量中分化腺癌浸润。


术后第1天,无高热,无恶心、呕吐,无腹胀腹痛,情况尚可。 患者术后第6天,一般情况可,有排气排便,已改清流饮食。 疑问:患者术前PET-CT提示有腹腔种植转移,是否有疑问?如果不是种植转移,那么是否是第一术后炎症未消退?如果是种植转移,那么是否说明恰当的化疗方案对于腹腔种植灶有价值?