打开应用

2--羟基戊二酸尿症(2-HGA)

伍医师   广州医科大学附属第一医院
戊二酸尿症

主诉 病史

患儿,男,8岁4个月,因“四肢无力8年”于2010年1月26日就诊于首都医科大学附属北京天坛医院 神经内科。患儿出生时“大头畸形”;7个月时家长发现患儿仍不会翻身,不会爬;至26个月患能够在家长保护下行走,开始会说“妈妈”,智力发育与同龄儿童基本相同,但四肢无力,易疲劳,休息后减轻,易烦躁,偶感心慌。患儿始终无高热,无呼之不应、肢体抽搐、二便失禁。既往史:按时疫苗接种,否认其他病史。父母生产史:父母非近亲结婚,母亲G6P2,患儿系第2胎,孕期顺利,因胎儿宫内窘迫行剖宫产术生产。患儿出生时身长49 cm,体质量4.3kg。个人史:不喜欢食奶、蛋及豆制品,食肉少。家族史:患儿有1个姐姐,22岁,体健。否认家族有类似病史及其他遗传病史。

查体 辅查

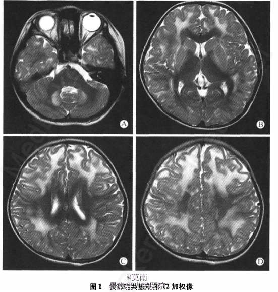
查体:身高110 cm,体质量18 kg,大头畸形,五官正常无畸形。定向力、记忆力、计算力、理解、判断力粗测正常。颅神经检查正常。四肢未见肌肥大、肌萎缩,肌张力对称适中,四肢肌力5-级,腱反射对称活跃,双侧巴氏征阳性。深浅感觉检查未见明显异常。指鼻试验、跟膝胫试验欠稳准。颈软,脑膜刺激征阴性。走直线不稳,能用足跟、足尖行走,Romberg征睁闭眼均稳。皮肤温度湿度正常。 辅助检查:尿有机酸筛查:2一羟基戊二酸(106.74 mmol/mol cre,正常范围0.6~5.9mmol/mol cre)、3一羟基戊二酸(537.83mmol/mol cre,正常范围0)、2一己烯酸(113.02 mmol/ mol cre,正常范围0~16.4 mmol/mol cre)浓度显著高;甘油酸浓度轻度升高。尿液蝶呤分析:正常。血液代谢筛查:精氨酸、瓜氨酸等氨基酸浓度降低,提示营养状况不佳。游离肉碱浓度降低,乙酰肉碱浓度轻度升高,提示继发性肉碱缺乏。血液脂肪酸谱检测:未见典型脂肪酸代谢异常改变;多种脂肪酸浓度降低,提示营养状况不佳。头部MRI:双侧额颞顶枕皮质下白质、双侧小脑、双侧内囊、双侧外囊、双侧放射冠及半卵圆中心可见多发片状长Tl、长12信号影,在FLAIR像上呈高信号影,在b=l 000的弥散加权像上呈高信号影(图1)。

诊断 处理

临床诊断:2--羟基戊二酸尿症(L-2一HGA可能性大)。 治疗:给予维生素B2 5mg,3次/d;左旋肉碱口服液l g/d。

随访 讨论

目前患儿症状无明显改善,有待于进一步长期随访观察。2-羟基戊二酸尿症(2-HGA)是一种罕见的常染色体隐性遗传神经代谢障碍性疾病,以血、尿及脑脊液中2-羟基戊二酸(2-HGA)浓度升高为主要特点,并依据构型不同分为D-2一羟基戊二酸尿症(D-2-HGA)和L-2-羟基戊二酸尿症(L-2-HGA)。L-2-HGA在婴幼儿期或儿童期隐袭起病,最初表现为轻度精神运动发育迟缓,随后出现进行性共济失调、智力倒退、癫痫发作、锥体系和锥体外系症状和体征,一半患者出现进行性大头畸形。L-2-HGA神经影像学表现极具特征性,头颅MRI显示散在或弥漫性大脑皮质下白质、基底节(苍白球、尾状核和壳核——按出现频率由多到少)和小脑齿状核长T2信号和脑萎缩,皮质下白质异常呈向心性减轻与其他白质脑病不同。除临床和影像学表现外,明确诊断主要依靠血、尿和脑脊液有机酸分析及异构体分析发现L-2-HGA浓度增高。产前诊断需测量羊水L-2-HGA浓度,仅轻度升高时需强调基因突变分析的重要性。L-2-HGA目前尚无特异性治疗,近2年有报道用维生素B2、FAD和左旋肉治疗可能有效。【摘自:《首都医科大学学报》,2011年2月第32卷第1期,《2-羟基戊二酸尿症病例报道》】

发布于 15-06-26 21:08

1 个评论

发送