下载或打开 医联APP 查看完整评论
立即下载
打开APP
患者男性,58岁,汉族 主诉:“发作性右侧肢体无力1天”; 现病史:患者于9月22日开车过程中,突然出现右侧肢体无力,症状持续约10分钟缓解,后上述症状再次发作5次,每次持续约3-5分钟。为进一步诊断至我院住院。
PE: NE:神经专科查体均正常; ABCD2评分为3分 NIHSS评分为0分; 入院后辅助检查均正常,CT、MRI+MRA、脑电图、视频脑电监测均未见异常。
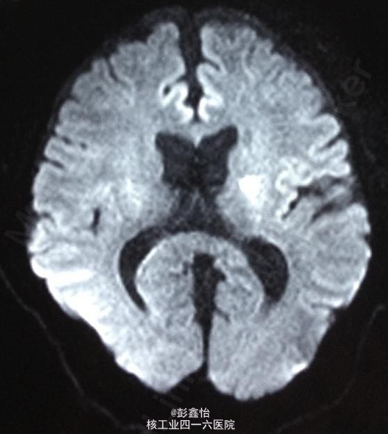
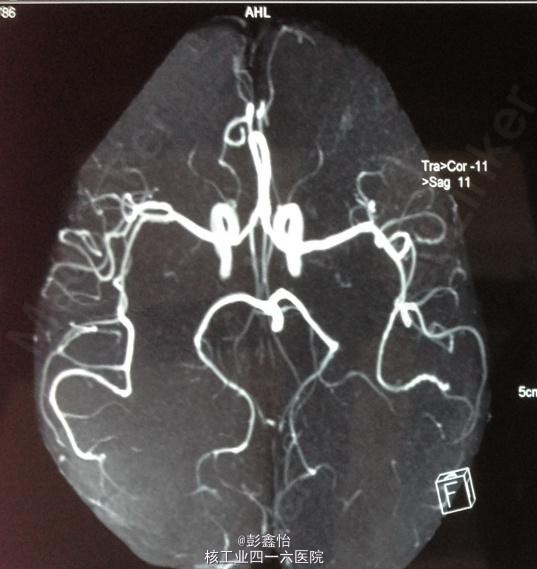
因患者无明显肢体抽搐及局部泛化过程,脑电监测正常,基本可除外癫痫发作。诊断TIA,予以阿司匹林、他汀降脂等治疗,但TIA继续发作。 追加血管评估,但TCD、DSA、颈部血管超声均未发现异常,在原有治疗基础上,予以双抗、改善循环、营养神经加强治疗 但患者仍频繁发作TIA,3天内共发作20余次。判断为治疗抵抗,继续加用抗凝、脑保护,最后加用羟乙基淀粉扩容治疗后发作终止,但患者出现右侧肢体轻偏瘫。 复查DWI:左侧基底节区出现急性梗死灶; 复查MRA、DSA均未见异常。






随访:患者最终诊断为:“内囊警示综合征”,控制发作后转入华西医院进一步诊疗。 讨论:内囊警示综合征是一种短时间内频繁发作的特殊类型TIA。指24小时内发生3次或3次以上单侧短暂性脑缺血症状的综合征,其病理基础是单根深部小穿支动脉病变(动脉粥样硬化),导致血流动力学的障碍(穿支动脉低灌注),也可继发于其他疾病如动脉夹层。内囊警示综合征最显著特征为短时间内频繁发作,同时出现脑梗死风险高,需及时治疗。由于其穿支低灌注这一发病机制,对抗血小板聚集、降脂、溶栓、血液稀释等多种治疗存在抵抗,但扩容治疗有效。在治疗内囊警示综合征患者时很重要一点在于应当适当降压,避免低血压,否则反而加剧TIA发生。