下载或打开 医联APP 查看完整评论
立即下载
打开APP
患者男, 59岁 主诉:左下腹疼痛9月,皮肤黄染1月 现病史:患者9个月前无明显诱因出现左下腹隐痛,进食后感腹胀,休息后稍缓解,无放射痛、恶心、呕吐、发热等不适,未予治疗。1月前无明显诱因出现皮肤黄染,伴瘙痒,2015.5.18于黄石爱康医院胆道MRCP示胆总管中上段肿瘤或结石,2015.5.25行但中国切开胆道镜探查T管引流术,术后病理示粘液腺癌。自起病以来,患者精神睡眠可,饮食稍差,大小便如常,体力体重稍下降。 既往史无特殊。
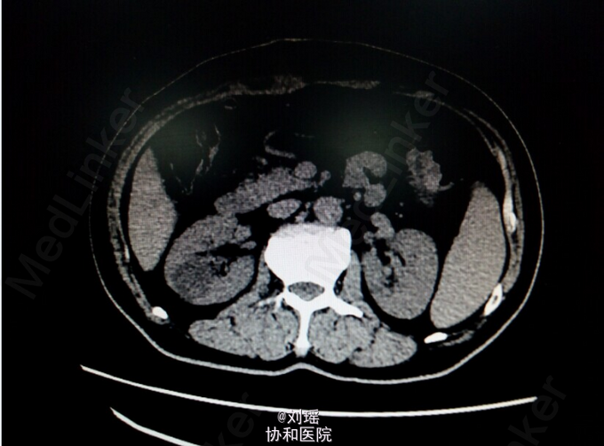
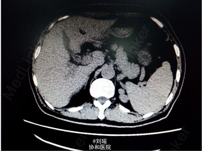
查体:生命体征平稳,慢性病容,皮肤巩膜重度黄染,右上腹T管,余无特殊。 辅助检查: 肝胆脾CT:右肾囊肿;胆总管粘液腺癌术后 T管造影:胆总管全段可见不同程度,不同大小之充盈缺损并不同程度狭窄,考虑为占位性病变。肝内胆管明显扩张。




诊断: 胆总管粘液腺癌 胆总管切开胆道镜探查术后 右肾囊肿 处理:1、完善血尿常规,肝肾功能等检查;2、给予对症支持治疗;3、密切关注病情变化并处理。
胆管粘液腺癌是胆管癌中的一种少见病理类型,可发生于肝内外胆管,来源于胆管腺上皮,以分泌大量粘液为特征,部分可在临床引起梗阻性黄疸或并发胆管炎。