下载或打开 医联APP 查看完整评论
立即下载
打开APP
主诉:咳嗽咳痰、发热、呼吸困难3天。 病史:患者 55 岁,既往有糖尿病和慢性阻塞性肺疾病病史,接受吸入激素治疗后,出现了肺炎军团菌引起的肺炎,伴严重低氧血症。因多器官功能衰竭,转入 ICU 治疗,医护人员采用了各种方法来改善肺部气体交换,同时需要采用体外膜肺氧合来维持患者生命。纤维支气管镜下可见支气管粘膜严重的炎症样改变、溃疡、坏死和假瘤样病变。

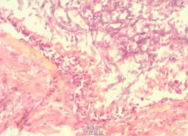
查体:双肺呼吸音弱,可问及大量湿性罗音。 辅助检查:支纤镜下可见气管支气管粘膜多处溃疡和坏死,支气管壁似乎有白色斑块附着和假瘤样病变。常规行苏木素 - 伊红染色后,之气管壁活检样本可见真菌菌丝侵袭浅表粘膜引起的弥漫的溃疡性炎症性气管支气管炎。具体图像如下。


诊断:暴发型侵袭性气管支气管曲霉病。 处理:对此类患者必须高度怀疑此病,纤维支气管镜结合对活检标本行快速的组织学检查,能加快该病的诊断进程,给予吸氧、祛痰、特异性抗炎等治疗。必要时行气管切开通气。
讨论:袭性曲霉病是一种会危及生命的机会性感染,常见于移植期间的免疫功能被严重抑制的患者和癌症患者。脓毒血症引起的免疫抑制是一种特殊情况,在此情况下,既往免疫功能正常的患者,其免疫功能会迅速变得脆弱,尤其是在患有糖尿病,慢性阻塞性肺疾病和行机械通气的情况下(转自 AJRCCM 杂志)。