下载或打开 医联APP 查看完整评论
立即下载
打开APP
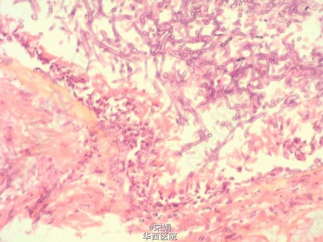
患者 55 岁男性,既往有糖尿病和慢阻肺病史,予吸入激素治疗后,出现了肺炎军团菌性肺炎,伴严重低氧血症。入院第 2 天,因多器官功能衰竭,转入 ICU 治疗。入院第 5 天,常规的辅助通气已不能维持生命体征稳定,加用体外膜肺氧合支持治疗。入院第 6 天,行纤支镜检查见支气管粘膜发生严重的炎性改变、溃疡、坏死和假瘤样病变。

纤支镜活检标本病理学提示:侵袭性气管支气管曲霉病。


立即开始伏立康唑治疗,但由于大面积脑出血,伴颞叶沟回疝,患者很快死于曲霉菌性脑病。
侵袭性曲霉病是一种会危及生命的机会性感染,发展迅速,可能演变成爆发型超级感染,在移植期间的免疫功能严重抑制者和癌症患者中常见。因脓毒血症而引起的免疫抑制是一种特殊情况,此时既往正常的免疫功能会迅速变弱,尤其是在患有糖尿病、慢阻肺和行机械通气的情况下。 DOI: 10.1164/rccm.201501-0035IM