打开应用

前牙粗大根管再治疗

陈医师   山东大学口腔医院
牙体缺损

主诉 病史

患者,女25岁,因右上前牙缺损拟冠修复,修复科转诊,要求重行RCT

查体 辅查

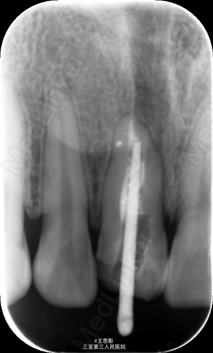
11斜行缺损,无叩痛,无松动,X线示根充欠密实

诊断 处理

11牙体缺损,根充不良,处理,去除原充填物,再治疗锉去除牙胶,预备后,试尖,欠长1mm,重新H锉疏通,到达长度后,以大锥度牙胶完成热压充填

随访 讨论

X线片显示,再治疗根充影像可,密度及长度已达要求

发布于 15-06-22 20:09

0 个评论

暂无评论
发送