打开应用

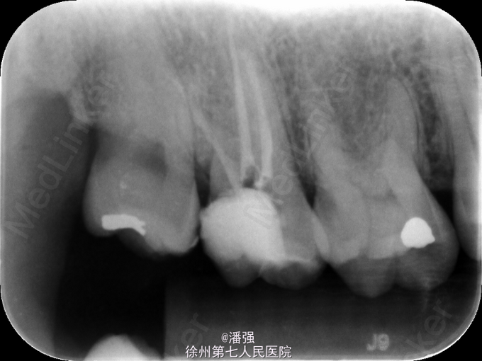
远中龋损

周讲师   西南医科大学口腔医学院附属口腔医院
中龋 中龋 慢性牙髓炎

主诉 病史

右上后牙冷热刺激痛一周

查体 辅查

17远中深大龋洞,探痛,冷热测激发痛,无叩痛和松动

诊断 处理

17慢性牙髓炎,处理,去腐未尽穿髓,局麻下开髓揭顶,远中腐质去完,平齐牙龈,通根,封药,复诊,根管预备,完成根管充填

随访 讨论

远中龋损不易被发现,每次去完腐质,可到龈下,可用玻璃离子形成假壁,减少微渗漏

发布于 15-06-22 09:44

2 个评论

发送