患者2年前无明显诱因出现头晕,查血压为180/90mmHg左右,血钾为2.5mmol/L,伴有面色潮红、出汗,无胸闷、气促,无四肢乏力,无晕厥,无视物模糊,无天旋地转感。后口服降压药降血压,血压控制在140-150/80-90mmHg。每日规律监测血压,血压高时仍伴有头晕、面色潮红、出汗等症状。4天前无明显诱因再次发作头晕,症状较前加重,查血压示200/100mmHg.门诊“高血压查因”收入我科。
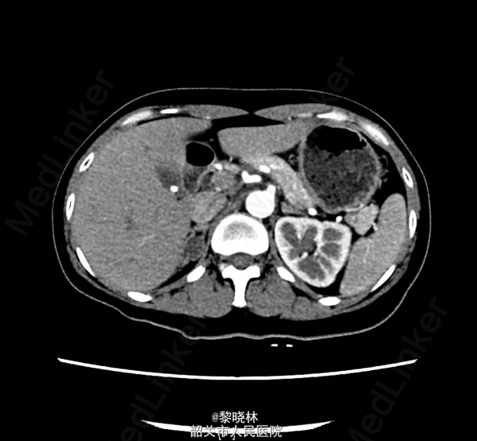
入院查体:BP182/111mmHg,余无特殊。辅助检查门诊CT示双肾+肾上腺螺旋CT平扫+增强扫描(中腹)检查所见:1、右肾上腺结节,考虑腺瘤;左肾上腺增生。2、左肾下盏结石。3、小副脾。


诊断:高血压查因:肾上腺瘤? 入院后查尿蛋白定量/尿肌酐比值 尿总蛋白0.030g/L,尿肌酐4019.000umol/L。高血压三项 醛固酮547.930pg/ml,肾素浓度23.520pg/ml,血管紧张素II137.070pg/ml。 血清钾、钠、氯测定 钾2.930mmol/L。血常规、尿常规、大便常规、生化、甲功、肿瘤标志物、胸片、心电图均未见明显异常。排除手术禁忌症后,于2015-03-16行右侧后腹腔镜下肾上腺肿物切除术,术后病理提示“右侧肾上腺皮质腺瘤”。
术后恢复良好,尿管已拔出,肾周引流管已拔除,伤口已拆线,伤口无红肿、渗血、渗液、流脓,排尿正常,无尿频、尿急、尿痛,无排尿困难与尿失禁,无血尿、脓尿,饮食、睡眠正常。讨论:原醛症的患者临床上常见症状依次为高血压、口渴多尿、四肢乏力、四肢麻木、四肢抽搐等,早期表现为高血压,且往往是在高血压多年后才因出现低血钾而确诊,部分患者可无低血钾;高血压的特点为重度高血压,药物对其有一定效果,但不能达标,易发生高血压的并发症。肾上腺手术术前准备一般都按肾上腺嗜铬细胞瘤手术准备,包括扩容、稳定心率、控制血压等。