打开应用

前列腺癌患者病例

汪医师   德阳市第五人民医院德阳市东电医院
前列腺癌

主诉 病史

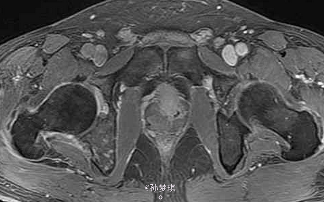
男,70岁,因排尿困难7年,加重3月前来就诊

查体 辅查

患者除排尿困难外无其他不适症状 辅查MRI,T2W示前列腺外周带正常高信号环中断,信号不均匀升高;增强T1WI示前列腺外周带偏右侧增厚,右侧坐骨支不均匀强化

诊断 处理

前列腺癌 处理:根治性前列腺切除术

随访 讨论

随访中

发布于 15-06-21 09:04

2 个评论

发送