下载或打开 医联APP 查看完整评论
立即下载
打开APP
患者,女,58岁,因“左足跟疼痛半年”入院。患者半年前起无明显诱因下出现左足跟疼痛,行走时明显,休息后能缓解.
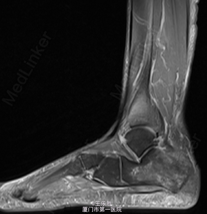
左足跟轻度肿胀,局部皮肤无红肿及皮温升高,轻压痛,左足背动脉搏动存在,肢端血运感觉正常,足趾活动尚可。MRI提示:“左足跟骨水肿”.


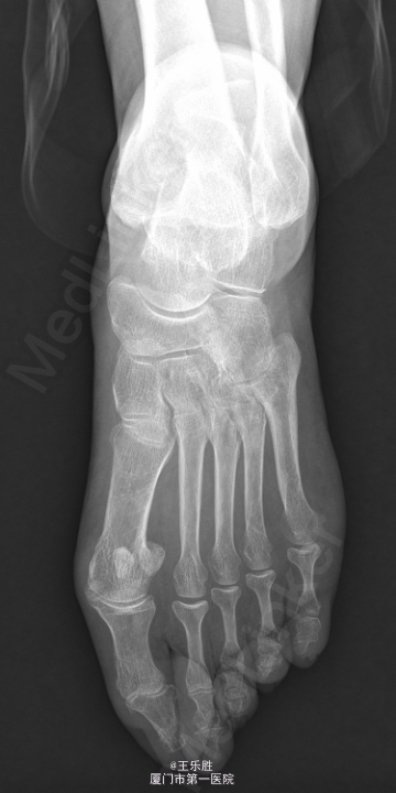
初步诊断:左足跟痛. 行CT(左下肢)检查提示:左跟骨骨折,断端稍嵌插、骨质增生样密度增高,跟骨结节骨质增生。余骨未见明显骨质异常,关节间隙如常.


患者属陈旧性骨折,嘱患者避免负重。