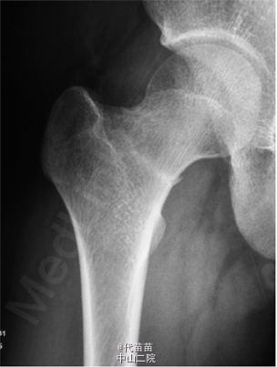
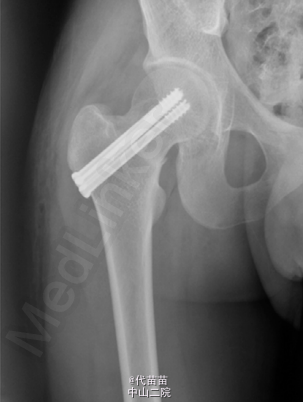
患者男 , 17 岁 , 战士。因右髋部疼痛逐渐加重 1 个月来诊。患者于 2013 年 9 月入伍后开始训练 , 1 个月后无明显诱因出现右髋部疼痛 , 行走及训练时加重 , 休息后能缓解 , 无低热、盗汗 , 无昼轻夜重等现象 , 曾到师医院就诊 , 给予对症治疗 , 后疼痛症状逐渐加重。影响活动 , 不能坚持训练来本院就诊并入院。查体 :一般状况良好 , 心肺腹无异常。右髋部及腹股沟区皮肤无红肿 , 皮温不高 , 无静脉显露 , 右髋后上方压痛 , 无放散 , 右髋部叩击痛阳性 , 右髋关节活动尚好 , 活动时疼痛加重 , 未触及明确包块。血、尿、便化验检查无异常 , 血清碱性磷酸酶 126 U/L。X 线片示 :右股骨颈基底断裂 , 无明显移位 , 局部骨痂形成 ( 见图 1)。诊断:右股骨颈疲劳骨折。入院后完善检查及术前准备, 2 d 后给予行小切口三枚空心螺钉内固定术 ( 见图 2)。术后对症治疗,半个月后拄拐不负重行功能锻炼, 出院后 3 个月复查 X 线片示 :右股骨颈基底部骨小梁及骨皮质连续 , 骨折线消失 , 达到骨性愈合。 应力性骨折又称疲劳性骨折 , 常发生在运动员及新兵训练中 , 此类人员频繁的超负荷训练致骨每天承受反复负荷,以致骨发生局部微损伤 , 如果这种损伤不断积累 , 超过机体修复能力 , 就会产生骨的疲劳性骨折。此类患者往往无明确的外伤史 , 但有大运动量的病史 , 尤其是军人及运动员不能忽视 , 多数患者患侧髋后上部及臀后部疼痛 , 活动时加重 , 休息后缓解 , 部分患者随着病情发展 , 停止运动或休息后仍不能使疼痛缓解 , 查体时 , 患髋后上方及臀部有压痛 ,局部偶有肿胀 , 大粗隆处叩击痛阳性。辅助检查 :DR 及 CR一般可在 1 个月内出现骨膜反应征象 , 大约 3 个月左右由于骨折修复 , 可见有骨痂形成 , 但无法与相关疾病做出鉴别诊断 , CT 的高分辨率扫描 , 能清晰显示骨折线及骨膜增生 , 对平片不能早期确认的病例有较高的诊断价值 , 螺旋 CT 的三维重建可根据需要对高度怀疑的骨组织任意面及任何位置进行重建 , 以此可发现较细的骨折线 , 尤其对于股骨颈及坐骨支等解剖结构复杂区域的疲劳性骨折较适用。MR 其多方位多平面成像 , 敏感性优于 X 线片 , 特别是能早期显示骨折线 ,以及骨折周围软组织 , 髓腔内的水肿和出血。对那些X线片或 CT 扫描有疑问的疲劳骨折病例 , MR 有显著的早期诊断和鉴别诊断价值。 疲劳骨折治疗原则是早发现 , 早治疗 , 可限制原有运动 , 休息为主 , 对极少不稳定或移位的骨折 , 可采取手术固定。此外 , 在训练中 , 应科学施教 , 劳逸结合 , 因每个人的不同体质针对性的制定出训练计划 , 避免同一部位频繁、多次训练。如在训练中出现下肢某部位进行性疼痛 , 应及时来医院诊。

