下载或打开 医联APP 查看完整评论
立即下载
打开APP
患者,男性,82岁。患者于2月前无明显诱因出现尿频,尿急,排尿结束时尿痛夜尿次数增多,排尿迟缓,尿流断续、变细,射程变短,无尿急、尿痛,无肉眼血尿、尿道口流脓,无腹痛、腰痛,未予特殊处理。外院B超提示膀胱结石;前列腺稍大。现为进一步诊治收入我科。
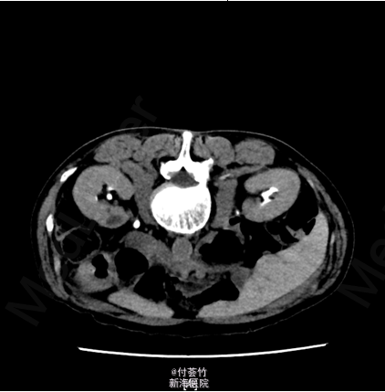
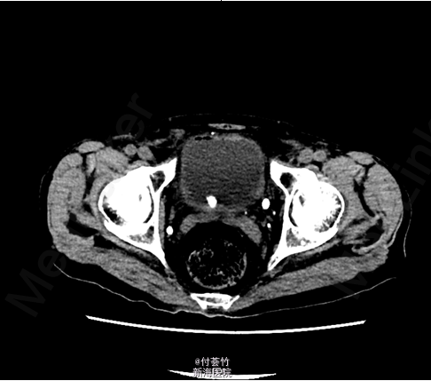
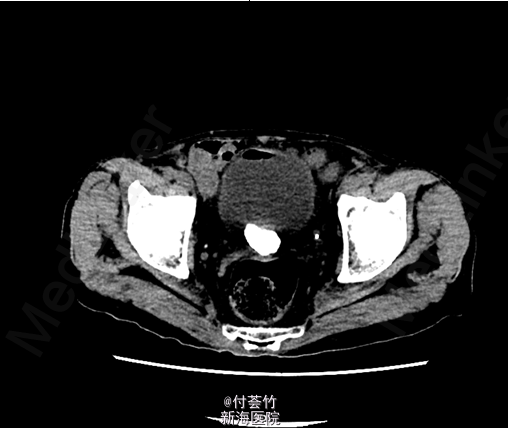
双肾区无红肿、隆起,无叩痛,双侧肋脊点、肋腰点无压痛。腹平软,双侧上中输尿管点无压痛,膀胱区无压痛。双侧腹股沟区未触及肿物 入院后查双肾CTU:膀胱结石,慢性膀胱炎,膀胱少许积气;左肾下部病灶,考虑良性病变,复杂囊肿可能大;双肾多发囊肿;前列腺电切术后改变,残留前列腺钙化




入院后予抗感染等对症支持治疗。排除手术禁忌后,于2015-5-18腰硬联合麻醉下行经尿道膀胱结石碎石,术程顺利,术后予抗感染、化痰、雾化等对症支持治疗。现患者术后恢复可,今予出院。
老年男性大多由于前列腺增生引起下尿路梗阻造成膀胱结石发生率较高,术前评估对于高龄患者很重要。