打开应用

高龄膀胱肿瘤患者

陈医师   宁波市医疗中心李惠利东部医院
膀胱肿瘤

主诉 病史

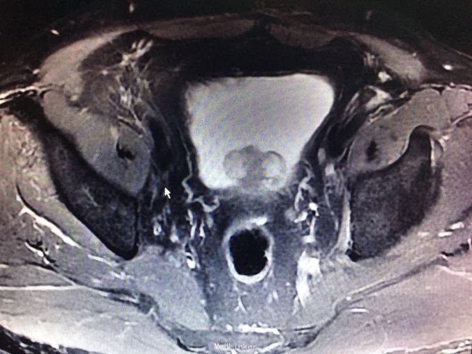
肉眼血尿一周余。 患者一周前无明显诱因出现肉眼血尿。遂于我院就诊,门诊膀胱镜提示:膀胱左侧巨大占位,未窥及基底部。今为进一步治疗收入我科。 九年前于上海行膀胱部分切除术。 81岁,男性患者

查体 辅查

查体:无殊。 门诊MRI提示膀胱多发肿瘤,累及深肌层。

诊断 处理

未行进一步治疗

随访 讨论

高龄患者,既往膀胱部分切除术后,拟行全膀胱切除术。

发布于 15-10-31 18:27

2 个评论

发送