下载或打开 医联APP 查看完整评论
立即下载
打开APP
1、患者老年男性,尿频、尿急、尿痛伴发热20余天。 2、患者20天前无明显诱因下出现尿频、尿急、尿痛伴发热,温度可达38.3℃,无咳嗽、咳痰,无流涕,无头痛、头晕,遂就诊于当地人民医院,行泌尿系B超提示:双肾多发结石。予以哌拉西林他唑巴坦+多西环素抗感染、护肾、改善循环、护胃等治疗,症状有所缓解后出院。4天前再次无明显诱因下出现发热,为进一步诊治就诊于我院门诊。
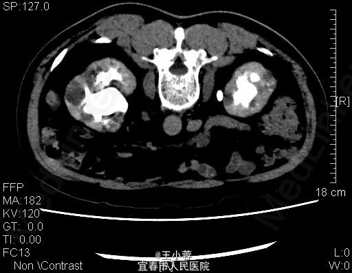
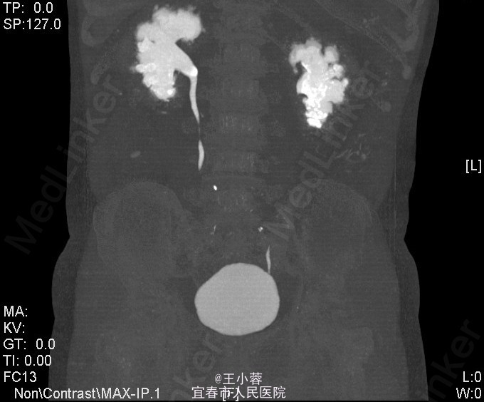
3、查体:未见明显异常 4、辅助检查:当地人民医院泌尿系彩超示:双肾多发结石(未见报告),我院肌酐124.2umol/L,糖6.62mmol/L。我院双肾CTU:1、双肾铸型结石,双肾中度积液,双肾功能减低;腹膜后多发稍大淋巴结。2、多囊肝,多囊肾,双肾多发复杂性囊肿。3、慢性胆囊炎。4、腹主动脉及双侧髂动脉硬化




5、诊断:双肾多发性结石 6、处理:入院后完善相关检查,如上述,胸片、心电图未见异常,予以头孢哌酮钠舒巴坦钠+乳酸环丙沙星联合抗感染治疗,控制血压及血糖后,患者一般情况稳定,行右侧经皮肾镜取石术,术后予以抗感染、补液等对症支持治疗,患者恢复良好,顺利出院,待半年后再行另一侧手术,住患者出院后定期复查。
7、经皮肾镜取石术(PCNL)被形象地比喻为“打洞取石”,与开放手术相比,其优点是:能直视下发现结石并碎石取石;可一次将结石击碎、当时全部取出;操作可以随时停止、分期进行;可与ESWL配合治疗结石;损伤比开放手术小,比反复ESWL小。对于大型肾结石,尤其是铸型结石,经皮肾镜取石术尤为适用。该法虽然有优势,不过术后仍然要注意出血,感染等常见的并发症,甚至是稀释性低钠血症,确保病人万无一失。