打开应用

Pick病,你听说没

何医师   南京鼓楼医院

主诉 病史

49岁,男,进行性行为改变入院

查体 辅查

进行性智能减退,记忆障碍明显

诊断 处理

Pick病 处理 此病暂无有效疗法

随访 讨论

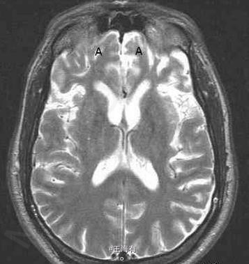
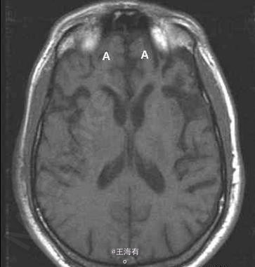
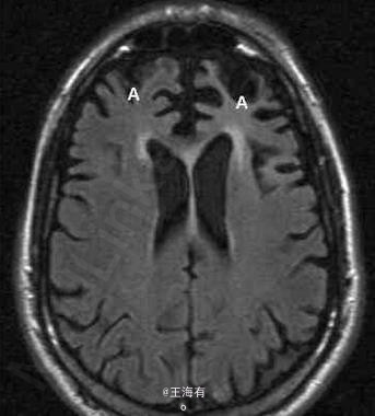
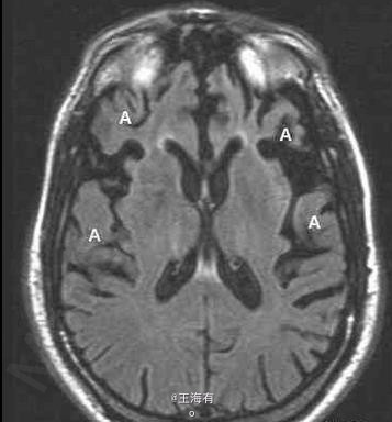
Pick病是一种罕见的进行性变性疾病,大多累及额叶和颞叶。预后本病预后不良。常在发病1年内迅速转入痴呆

发布于 15-06-20 06:21

0 个评论

暂无评论
发送