下载或打开 医联APP 查看完整评论
立即下载
打开APP
打开应用
畸胎瘤,你听说过没
刘助教
南华大学附属第一医院
主诉 病史
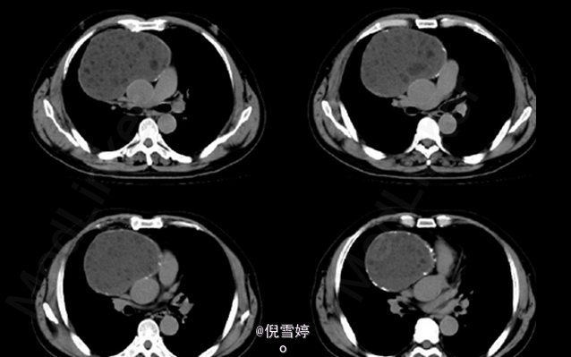
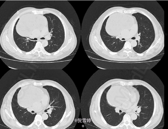
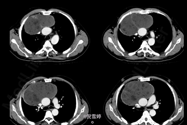
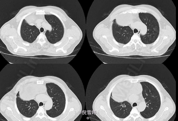
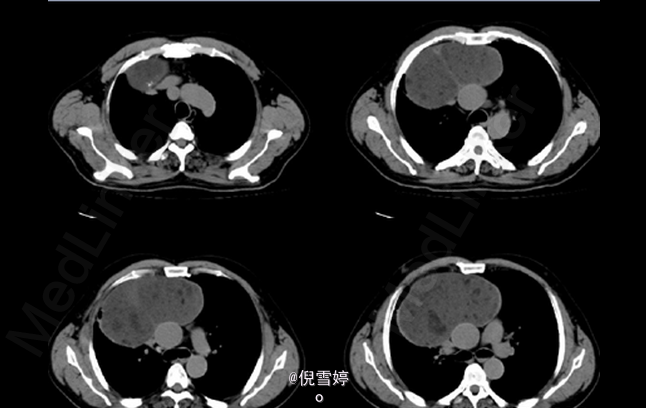
患者,男,49岁岁,因胸部不适2d就诊
查体 辅查
患者除胸部不适外并无其他明显症状 辅查CT,右前纵隔囊性占位,多发脂肪样密度,病理检查良性
诊断 处理
畸胎瘤 处理:手术切除
随访 讨论
随访中
发布于 15-06-20 23:55
医联推荐你看
畸胎瘤
畸胎瘤
畸胎瘤
共
0
个评论
暂无评论
发送
0