下载或打开 医联APP 查看完整评论
立即下载
打开APP
打开应用
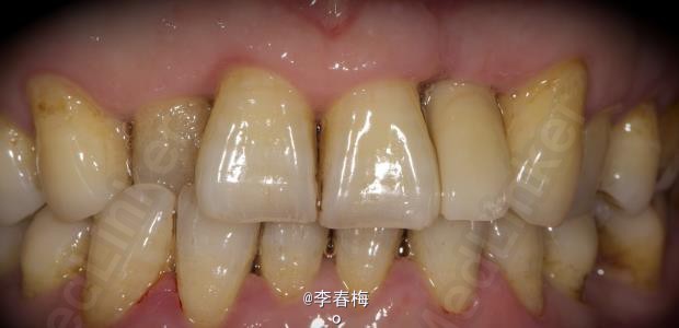
上颌前牙种植修复
贾医师
贵州医科大学附属医院
主诉 病史
患者,男,左上颌侧切牙缺失来诊。平素体质一般,无药物、食物过敏史,无高血压、心脏病等系统性疾病。
诊断 处理
随访 讨论
效果很好,患者满意
发布于 15-06-20 00:40
医联推荐你看
前牙种植
前牙即刻种植修复
前牙种植修复
共
3
个评论
查看更多评论
发送
0