下载或打开 医联APP 查看完整评论
立即下载
打开APP
1、中年女性,体检发现双侧肾囊肿2年 2、患者于2年余前至当地医院体检发现双侧肾囊肿,当时诉腰部稍酸胀,尿量稍增多,无尿频、尿急、尿痛,无排尿困难,无血尿、脓尿等。起病以来,患者一般情况尚可,体重无下降
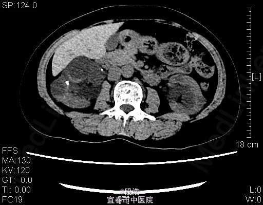
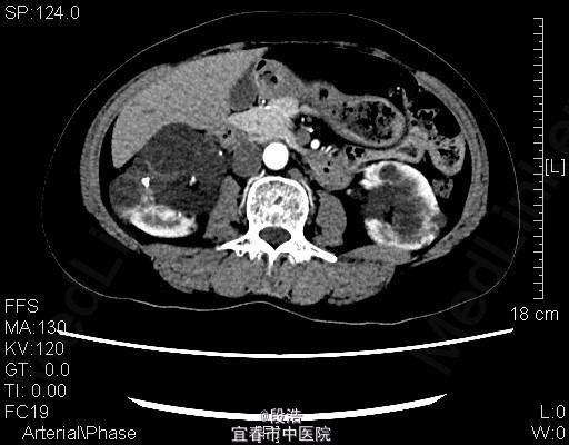
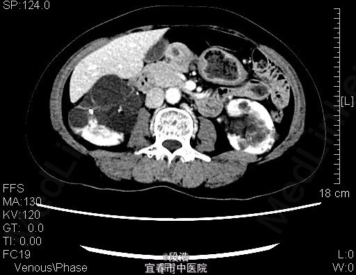
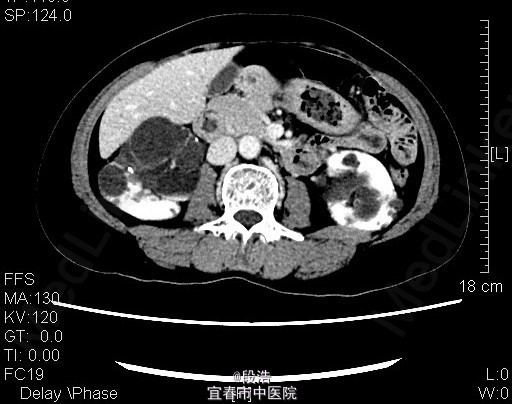
3、查体:未见明显异常 4、辅助检查:2013-4-11我院中腹部CT结果考虑多囊肝(未给出图像),双侧多囊肾,双肾囊壁部分钙化;双肾多发结石。2015年5月复查结果同前。





5、诊断:多囊肝,双侧多囊肾,双肾多发结石 6、入院后完善相关检查,生化,心电图,胸片未见异常,复查ct提示多囊肝,双侧多囊肾,双肾囊壁部分钙化;双肾多发结石,排除手术禁忌症后,行腹腔镜下左肾囊肿去顶术,术后予“注射用头孢美唑钠(先锋美他醇)”抗感染、抑酸、静脉营养补液等处理,术后恢复良好,顺利出院。术后半年复查再决定另一侧的处理方式。
7、多囊肾有两种类型,常染色体隐性遗传型(婴儿型)多囊肾,较罕见;常染色体显性遗传型(成年型)多囊肾,常于青中年时期被发现。中年发现的多囊肾病人,约半数有多囊肝。囊肿去顶术能够减轻囊肿对肾实质的压迫,保护剩余肾单位免遭挤压和进一步损害,使肾缺血状况有所改善,部分肾功能单位得到恢复,延缓了疾病的发展。多囊肾患者双侧均应手术,一般双侧手术的间隔时间为半年以上。晚期病例如已有肾功能损害处于氮质血症、尿毒症期,不论是否合并有高血压,减压治疗已无意义,手术打击反可加重病情。