下载或打开 医联APP 查看完整评论
立即下载
打开APP
患者,男性,64岁。患者于1年余前因“膀胱肿瘤”于外院行“膀胱肿瘤电切术”,术后完成膀胱盥洗化疗13程。患者1周前返院复查,膀胱镜检发现电切处赘生物,病理活检示“高级别上皮内癌”。患者自前次化疗以来,无尿血,无腰痛,无尿频、尿急、尿痛,无排尿困难。现为进一步诊治收入我科。近期体重无明显下降。
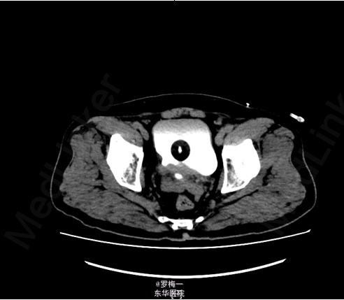
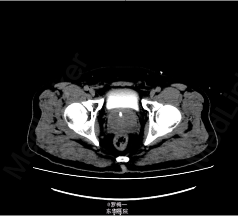
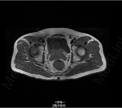
住院后完善相关检查,PSA两项均升高,其他各项术前常规检查未见明确手术禁忌证。遂于2015-04-02行经直肠前列腺穿刺活检,病理提示“符合前列腺增生伴慢性炎”。盆腔MR平扫+增强扫描考虑膀胱癌复发可能性大;彩超肝胆胰脾及核素骨扫描暂未见肿瘤远处转移证据。




排除手术禁忌证后于2015-04-10行腹腔镜下膀胱癌根治术,手术顺利,术后病理结果提示:(膀胱)结合免疫组化,符合低级别浸润性尿路上皮癌,浸润至膀胱浅肌层,疑见脉管内癌栓形成;“左、右侧输尿管断端”未见癌。(前列腺)前列腺增生,未见癌;“尖部切缘;左、右侧输精管、精囊腺”均未见癌。(阑尾)慢性阑尾炎。(左侧盆腔淋巴结4枚、右侧盆腔淋巴结2枚)未见癌。患者术后病情恢复良好。
患者一般情况良好。右侧腹壁造口小肠粘膜红润,排尿功能未见明显异常。腹部伤口愈合良好已拆线。膀胱癌的复发率较高,对于首次接诊的患者,你是建议直接行根治术还是电切呢?