患者为中年女性,半年前无明显诱因偶尔出现上腹部胀痛,无向背后放射,疼痛与饮食无关,无伴恶心、呕吐。2个月前就诊于湛江市人民医院,查超声提示腹膜后存在一大小约4cm肿物,于2014-9-10局麻下行TACE术,术后恢复可。为行进一步治疗来我院就诊。精神睡眠可,饮食可,二便正常。近期体重无明显改变。
皮肤、巩膜无黄染,肝掌征阴性,未见蜘蛛痣,腹部外形平坦,腹部轻度彭隆,未见胃肠形或蠕动波,脐部未见异常,未见腹壁静脉曲张,腹部可见剖宫产手术瘢痕,全腹壁柔软,无波动感,全腹无压痛反跳痛,肝脏脾未及,肝区叩击痛阴性,移动性浊音阴性,肠鸣音正常,4-5次/分,振水音阴性,未闻及腹部血管杂音。 2014-10-22血常规:白细胞总数3.920x10E9/L,血小板计数199.000x10E9/L,血红蛋白浓度119.000g/L。生化全套:钾3.670mmol/L,钠141.700mmol/L,肌酐(酶法)66.000umol/L,糖4.710mmol/L,总胆红素9.740umol/L,白蛋白39.700g/L,谷丙转氨酶32.000U/L,谷草转氨酶22.000U/L。凝血四项:凝血酶时间18.300sec。 彩超肝胆脾胰+门静脉+腹部大血管见:胰腺体尾交界处、胰腺下方低回声团,性质待定,建议进一步检查。门静脉、肝静脉、下腔静脉血流通畅。心电图胸片未见异常。

诊断:腹膜后肿物 治疗:腹膜后肿物切除术 手术简要过程:麻醉成功后,取平卧位,术野皮肤常规消毒,铺巾;取左侧经腹直肌外缘切口,长约15cm ,逐次切开皮肤,皮下组织,电刀止血,电刀切开腹直肌和腹直肌前后鞘,切开腹膜;打开胃结肠韧带,探查见胰体尾部胰腺后方存在一约4*2cm大小实性肿物,与周围组织粘连,遂决定行腹膜后肿物切除术。分离肿物与周围粘连,暴露最低部位,在肿物最低处见多个动脉供应,沿着动脉解剖分离周围组织,见改血管丛由肠系膜根部发出。打开肠系膜,将血管与周围组织分离,并用4#将血管结扎切断。再次游离肿物,将肿物完整游离切下。之后将打开的肠系膜按原位缝合。检查无活动性出血后,彻底清洗腹腔。清点器械无误后逐层关腹。切除组织送病理。病理回报Castleman Disease。

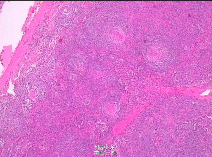
巨淋巴结增生是一种罕见的良性淋巴节增生性疾病,可发生于任何年龄,甚至可发于婴幼儿,成年人发病多见,最常见单发型CD ,多发型则相对少见。本病的起源是由于免疫调节缺陷导致的淋巴结中B淋巴细胞及浆细胞的过度增生,免疫学的研究证实CD发病可能与病毒感染有关。CD病理学分为三个主要类型:1)透明血管型2)浆细胞型3)混合型。90%的单中心型CD是透明血管型 ,表现为病变淋巴结滤泡增生和滤泡间小血管增生及透明性变,部分小淋巴细胞围绕生发中心呈环层状排列(似洋葱皮样结构)。手术切除目前为止被认为是单中心型CD的最合适治疗方法,部分无法切除患者可选择放化疗等方法。手术治疗方面,由于CD多有丰富的血供且周围解剖结构复杂,多紧邻血管神经,因此CD的手术治疗需要做好充足的术前准备。术前全面的影像学检查、充分备血对于手术治疗CD十分必要。化放疗方面,无统一的化疗方案,部分化疗方案如CHOP化疗方案等取得了良好的效果,采取放疗的方式治疗无法手术切除的单中心型CD也取得了良好的效果。