患者女,19岁,因“左眼视力渐进性下降3个月”就诊。3个月前,因左眼视力下降,眼压升高,在当地医院诊断为“青光眼唱睫状体炎综合征”。胸部X线片正常,予以大剂量口服强的松治疗,视力呈波动性下降,随后来我院就诊。
检查:右眼:视力0.3,眼压20mmHg,前节及眼底正常。左眼:视力1尺指数,6m光感,光定位正常,眼压30mmHg,角膜呈轻度乳白色样变性,前房充满淡灰色纤维素样渗出物,瞳孔散大,整个晶体混浊。 玻璃体和眼底无法查。 超声示:左眼玻璃体混浊,少量出血,视网膜在位。 ERG示b波振幅明显下降。
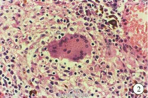
初步诊断:葡萄膜炎,原因待查。 治疗:降眼压,局部用强的松龙和散瞳剂,并逐渐减少原强的松用量。为控制眼压,清除混浊屈光介质以明确眼后节病变,首次行左眼白内障囊外摘除术+小梁切除术 +前玻璃体切割术。术后短期服用强的松,炎症无明显好转。 小梁组织病理切片显示:玻璃体变性,纤维结缔组织呈慢性炎症,有色素沉着; PCR-TB( —)。 术后7d,因低热、咳嗽 ,行胸部X 线片检查,发现双肺粟粒样结节,PPD试验(+++),转结核病医院予以抗结核治疗。15d后,左眼突发疼痛复诊,发现原小梁切口葡萄膜组织外露,拟诊结核性眼内炎。 二次手术为左眼探查术+玻璃体切割术+眼球内容物剜出术。术中细菌涂片阴性,抗酸杆菌染色(—),普通培养和厌氧培养(—),PCR-TB(+++)。 病理切片示:视网膜脉络膜退行性病变,玻璃体呈慢性炎症及炎性肉芽肿,可见典型上皮样细胞结节(图1,2)。


结核菌感染性疾病在威胁人类健康的感染性疾病中仍居首位,其眼部并发症表现多样且具有非特异性,结核性眼内炎极少见报道,起病隐匿,病程迁延,早期诊断困难,治疗效果差,眼球常最终被破坏。 doi:10.3969/cma.j.issn.1674-0785.2010.06.055