打开应用

临床一例结核性腹膜炎

杨助教   西安交通大学第二附属医院
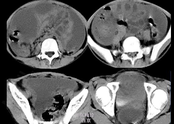
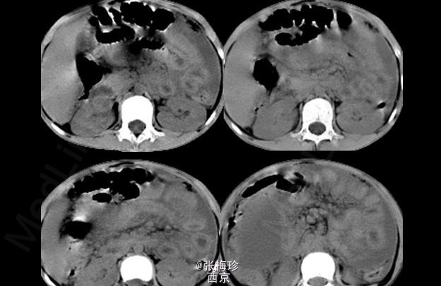
结核性腹膜炎

主诉 病史

女,9岁,上腹闷痛伴腹水1年余前来就诊

查体 辅查

查体:消瘦面容,腹膨隆,上腹部有轻压痛,无明显反跳痛,大小肿物,移动差

诊断 处理

结核性腹膜炎 处理:药物治疗,足量、联合为治疗原则

随访 讨论

患者预后佳

发布于 15-06-17 19:31

3 个评论

发送