下载或打开 医联APP 查看完整评论
立即下载
打开APP
患者,女,45岁。两年前无意中发现盆腔包块,无明显不适,未作任何治疗。半年来感包块明显增大,遂来院就诊。B超提示盆腔巨大包块,以盆腔包块待查入院。
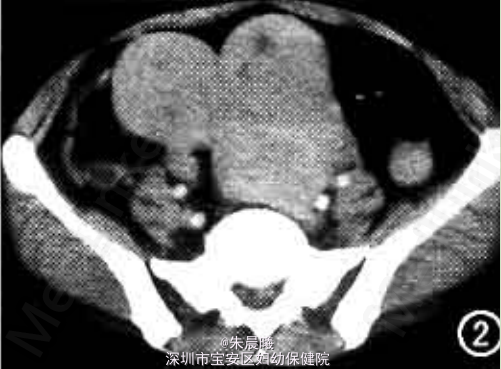
查体:腹膨隆,可触及盆腔包块达脐上两横指,质硬、无压痛,子宫及附件扪及不清。 实验室检查无异常。 静脉肾盂造影见中下腹13 cm×24 cm和11 cm×13 cm大小包块,呈哑铃状,边缘界限清楚。左侧包块内布满爆米花样钙化,输尿管受压右移,未见阻塞;右侧积尿系轻度扩张,膀胱左侧受压变形,CT平扫加增强如图1、2。


诊断:盆腔包块待查:子宫肌瘤? 治疗:此病例予开腹手术,手术见子宫巨大肿瘤及右侧附件阔韧带区肿瘤,肿物与子宫底有索条状蒂相连,大小分别为30 cm×20 cm×20 cm和12 cm×12 cm×12 cm,重3妇,实性,有包膜。病理诊断:①子宫多发性肌瘤,可见玻璃样变;②慢性宫颈炎;③(右)卵巢、输卵管组织。
随访:子宫多发肌瘤易反复,约1/3患者需再次手术,术后定期复查B超。 讨论:子宫肌瘤90%以上生长于子宫体部,仅有4%~8%发生于子宫颈,且多在后唇。在体部者多长于子宫底,后壁次之,位于前壁者比后壁少一半,而以两侧者最少。肌瘤的类型以壁问肌瘤最多,浆膜下肌瘤次之,粘膜下肌瘤比较少见。本例盆腔巨大包块为多发浆膜下肌瘤,并向右侧附件阔韧带区伸展,带蒂,形成阔韧带肌瘤,实性部分内可见不规则钙化。阔韧带平滑肌瘤少见,CT表现为密度均匀或不均匀的软组织肿块,CT值与子宫肌瘤相似,增强扫描呈明显强化,坏死、液化部分不强化。本病例由于肿瘤大、肿瘤内部密度不均匀出现爆米花样钙化而误为卵巢病变,遇到类似病例表现,要想到浆膜下子宫肌瘤可向子宫旁伸展或向周围寄生。